Blog
Useful and free info on dental implants, cosmetic dentistry, family dentistry, and more. All posts written by our doctors, not AI or some outside marketing firm. If you are in Campton Hills, St Charles, Geneva, Batavia, Elburn, Elgin, or anywhere in Kane County, these posts will be helpful!
How Soon After an Extraction Can I Get a Dental Implant?
If you’ve been told a tooth needs to come out, your next question is probably:
“How soon can I get an implant?”
That’s a smart question — timing matters more than most people realize. The short answer: in some cases, immediately (the same day as your extraction). In others, it can take several months before your bone is ready. Here’s how to know what’s best for you.
🧠 The Science Behind Timing
After a tooth is removed, your body starts remodeling the bone that used to hold it. Within 3–6 months, up to 40–60% of the ridge width can shrink if left untreated (Araujo & Lindhe, J Clin Periodontol, 2005). Once that bone is lost, replacing it becomes more complex — less predictable and more expensive. Usually it requires “lateral ridge augmentation” -a topic for another blog post.
So at Teuscher Legacy Dental, before getting a tooth out, we always plan tooth replacement with the end in mind — preserving bone from day one so your future implant has a strong, stable foundation.
⏱️ The Three Most Common Implant Timelines
1. Immediate Placement (Same Day as Extraction)
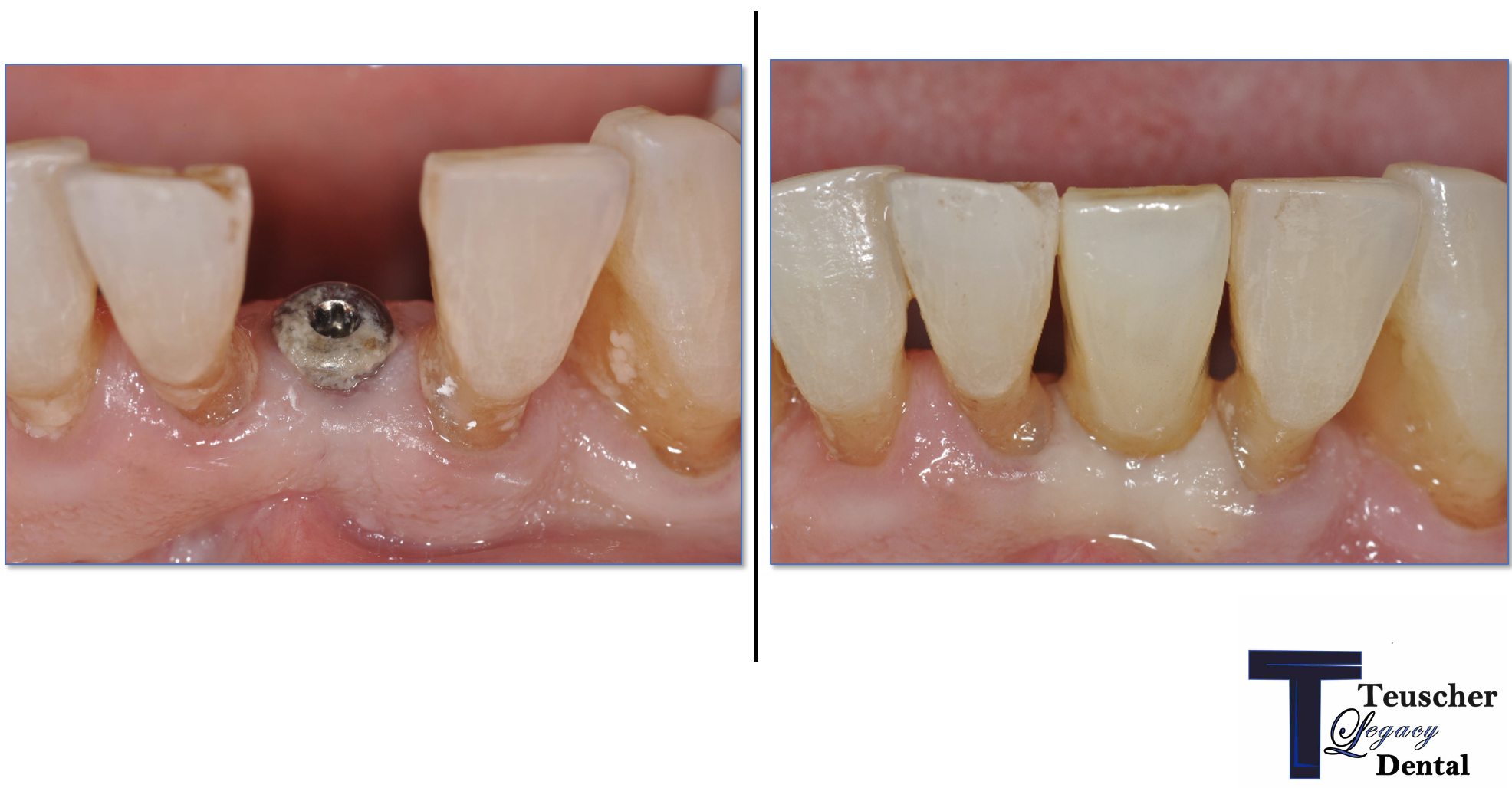
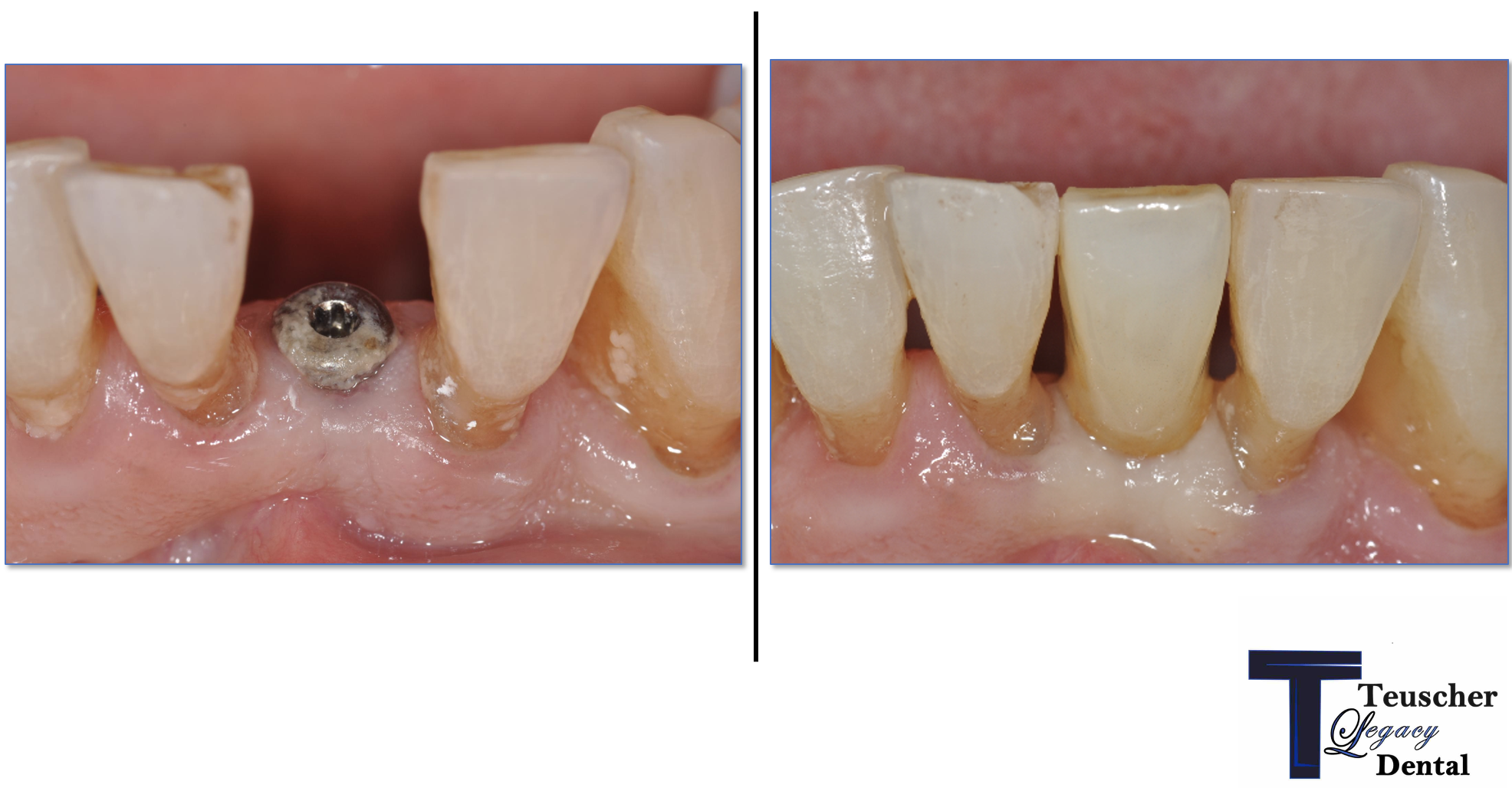
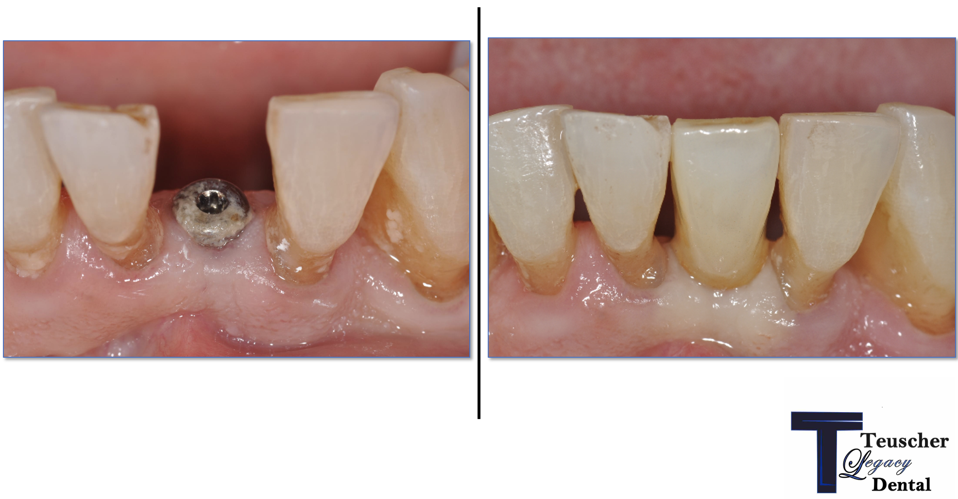
Immediate placement means the tooth is pulled and the implant screw goes in the same day. We detailed one of our own immediate implant cases here.
When it works best:
The bone around your tooth is intact
There’s no infection
You want to preserve gum and bone shape
Most often possible in single root teeth (less likely for molar teeth)
Why it matters:
Immediate implants reduce overall treatment time and minimize bone loss. It’s the gold standard when conditions allow — but it requires precise surgical skill and 3D imaging to ensure stability.
2. Early Placement (6-12 Weeks After Extraction)
When it works best:
Minor infection or bone irregularities were present
The site needs short healing before implant stability
Specific bone grafting protocols are used to allow quicker bone healing
Why it matters:
This approach lets the gum tissue heal and keeps the bone active enough to avoid major resorption. If you get a bone graft, using the right type of bone graft is hugely important, and it must integrate well with the implant system being used. See the table below for more information.
Types of Bone Grafts and Healing Timeframes
| Bone Graft Type | What’s In It | When It’s Used | Typical Healing Timeframe |
|---|---|---|---|
|
Collagen-Based Synthetic Graft (OsteoGen Plug) |
Collagen matrix combined with bioactive calcium phosphate that resorbs as natural bone fills in. |
Used for 4-walled extraction sockets or sites with minimal infection. Ideal when socket walls are intact and a membrane is not required. |
4–6 months for bone to fully mature before implant placement. |
|
30/70 Cortical–Cancellous Mix |
30% cortical (dense) bone and 70% cancellous (spongy) bone particles, often covered with a collagen plug or membrane. |
Used for 3- or 4-walled extraction sockets that need faster healing with good volume maintenance. |
8–12 weeks before implant placement or soft-tissue coverage procedures. |
|
70/30 Cortical–Cancellous Mix |
Higher ratio of dense cortical bone for slower resorption and long-term ridge support. Typically used with a resorbable membrane. |
Used for ridge augmentation or sites missing one or more walls, where added structure is needed for future implant stability. |
3–5 months for full maturation before implant placement. |
|
Xenograft (Bovine or Porcine-Derived) |
Deproteinized bone mineral from animal sources; primarily an anorganic hydroxyapatite scaffold that resorbs very slowly. |
Sometimes used for esthetic volume preservation when long-term contour is desired, but not ideal for implant integration. Not used at Teuscher Legacy Dental. |
Can remain for years; offers volume stability but limited new bone turnover. |
3. Delayed Placement (3-6 months after extraction)
When it works best:
Larger bone grafting was done at extraction
Significant infection or bone loss was present prior to extraction
A synthetic bone graft was used
The site needs full regeneration before implant placement
Why it matters:
Sometimes slower is smarter. Allowing the graft to mature ensures the implant integrates with dense, healthy bone for long-term success — even if it takes a few extra months.
After a tooth is pulled, the socket is often filled with a bone graft
The collagen plug and sutures after the bone graft was placed
🧩 Tell Me More About Bone Grafts
If the bone is thin, soft, or missing in key areas, a bone graft can preserve or rebuild it. Think of it like “soil preparation” before planting — it gives the implant a strong, lasting foundation.
In Kane County, socket preservation grafts typically cost between $700 and $900 per site, but they can prevent much larger future surgeries. At Teuscher Legacy Dental, the most common type of bone graft (socket preservation) is $869.
Here’s an example of a REAL extraction and bone graft case from Dr Brayden Teuscher at Teuscher Legacy Dental.
📷 Why Digital Planning Makes All the Difference
At Teuscher Legacy Dental, every implant case is planned with 3D cone beam CT imaging and digitally designed surgical guides — the same technology used by other leading surgical centers.
This allows us to:
Visualize bone quality, and sinus anatomy, and nerve locations
Place implants with extreme precision
Often shorten healing time and improve comfort
Optimize location of future crown (the chewing part of the implant)
(Source: Vercruyssen et al., Clin Oral Implants Res 2014;25:94–99)
❤️ What Patients Love About This Approach
Our patients tell us they appreciate:
Clear timelines before surgery
Clear communication about all risks involved. Our reviews often mention how we take the time to listen to our patients’ questions and fully explain everything when they need!
Gentle extractions that protect surrounding bone
Predictable healing with high quality bone grafting and implant techniques
Transparent pricing (no surprise fees). We go over all fees before we ever take the tooth out, and there are no hidden fees. If other offices aren’t transparent about their pricing, check our implant pricing guide and tips resource.
📅 Bottom Line
The right timing for your implant depends on:
The health of your bone and gums
Whether infection or bone loss is present
If a graft or membrane was used, and what type
Your overall healing and goals
At Teuscher Legacy Dental, we’ll evaluate your 3D scan and tell you — clearly and honestly — what’s possible now and what may need a few months of healing first.
Frequently Asked Questions
Can I get a dental implant the same day my tooth is extracted?Yes, in some cases. Immediate implant placement works best when the surrounding bone is strong, there’s no infection, and the tooth is a single-rooted tooth. It helps preserve gum and bone shape and shortens total treatment time. |
How long should I wait after an extraction before getting an implant?Most patients can safely have an implant placed between 8–12 weeks after extraction if early bone healing is complete. For sites that had infection or bone grafting, the healing period may extend to 3–6 months. |
Do I always need a bone graft before getting an implant?Not always. If the bone walls are intact and thick enough, a graft may not be necessary. But when infection, bone loss, or thin socket walls are present, a graft protects the ridge and prevents future bone collapse. |
How much does a bone graft cost in Kane County, IL?Socket preservation bone grafts in our area typically range between $700 and $900 per site. At Teuscher Legacy Dental, the standard grafting fee is $869, and all costs are reviewed before any procedure begins. |
Does digital planning really improve implant results?Yes. 3D CBCT imaging and guided surgery technology allow us to visualize bone density, nerve pathways, and implant angulation before placement — leading to more predictable healing, faster recovery, and ideal aesthetics. |
What happens if I wait too long after an extraction?Bone naturally resorbs after a tooth is removed — up to 40–60% of ridge width in 3–6 months. Waiting too long can require more complex bone grafting later or make implant placement less predictable. |
What are the Next Steps?
If you’ve had an extraction (or know one is coming), schedule a Free Implant Consultation today. We’ll review your imaging, discuss your options, and create a timeline tailored to your mouth and goals.
👉 Schedule Online or call (630) 762-0000
-Dr Brayden Teuscher
Do I Need a Bone Graft After a Tooth Extraction?
If you’ve been told you need a tooth pulled, you might also hear your dentist mention a ‘bone graft.’ What does that really mean—and do you actually need one? This post gives research backed answers to those questions!
If you’ve been told you need a tooth pulled, you might also hear your dentist mention a ‘bone graft.’ What does that really mean—and do you actually need one?
🩺 What a Bone Graft Does (in plain English)
The “socket” is the hole left over after the tooth is extacted.
When a tooth is pulled, there is a hole in your mouth! This is called the tooth socket.
If nothing is done at this point, your body heals by flowing blood into the socket and clotting, forming a “scab”. Eventually
(over about 3 months), this “scab” turns into natural bone and gum tissue. The hole is only there for about 2 weeks, because the gums heal faster than the bone.
Here’s the risk of not grafting: As the bone heals, it collapses from the cheek side.
When the bone and gums collapse, it causes a sunken-in appearance in your bone and gum tissue. Here’s when that bone collapse can be a problem:
If the collapse is in your smile line, it can be unaesthetic
If the collapse is where a future implant may be placed, often the collapse will mean there isn’t enough bone to predictably place an implant. This is the bigger concern usually with bone grafting.
This collapse happens fast. See the table below for multiple studies showing the same thing. In basic English: 8-12 weeks after the tooth was pulled, over HALF of the bone tends to be lost without bone grafting.
| Source (Full Citation) | Timeline Studied | Avg. Horizontal Bone Loss | Avg. Vertical Bone Loss | Key Takeaway |
|---|---|---|---|---|
| Araujo, M. G., & Lindhe, J. (2005). “Dimensional ridge alterations following tooth extraction: An experimental study in the dog.” Journal of Clinical Periodontology, 32(2), 212–218. | 8 weeks | ≈ 50% loss | — | Majority of ridge reduction occurs in the first 2 months. |
| Schropp, L., Wenzel, A., Kostopoulos, L., & Karring, T. (2003). “Bone healing and soft tissue contour changes following single-tooth extraction: A 12-month prospective study.” International Journal of Periodontics & Restorative Dentistry, 23(4), 313–323. | 12 months | ≈ 50% (~5–7 mm) | 1–2 mm | Two-thirds of shrinkage occurs within 3 months. |
| Tan, W. L., Wong, T. L., Wong, M. C., & Lang, N. P. (2012). “A systematic review of post-extraction alveolar ridge dimensional changes in humans.” Clinical Oral Implants Research, 23(Suppl 5), 1–21. | 6 months | 3.8 mm (mean) | 1.24 mm (mean) | Most bone loss happens early and is irreversible without grafting. |
| Van der Weijden, F., Dell’Acqua, F., & Slot, D. E. (2009). “Alveolar bone dimensional changes of post-extraction sockets in humans: A systematic review.” Journal of Clinical Periodontology, 36(12), 1048–1058. | 3–6 months | 29–63 % | 11–22 % | Majority of loss occurs in the first 3–6 months. |
| Misch, C. E. (2015). Contemporary Implant Dentistry (4th ed.). St. Louis, MO: Elsevier Mosby. | 6 months (summary) | Up to 60 % | Up to 40 % | Grafting at extraction maintains ridge form and simplifies future implant placement. |
Why does the bone loss matter?
It makes placing an implant less predictable, because implants need enough bone to support them long term.
What if I decide I want an implant later, but the bone has already collapsed?
In this case, different types of bone grafting are available. But it is usually more expensive and less predictable than filling the original tooth socket would have been.
When a Bone Graft Is Usually Recommended at the time of Tooth Extraction
You plan to get a dental implant in the future
Front tooth (esthetic zone) where gum shape matters
Larger infection or cyst that has already removed a large portion bone
Thinner bone around roots
In our St. Charles practice, roughly 6 out of 10 extractions include socket preservation because it prevents risk of a bigger surgery later.
⚖️ When A Bone Graft Might Be Optional (or you may not want one)
Molar tooth with no plan for implant
Already has thick bone support
Significant infection where graft won’t integrate well initially
Cost is a reason people choose against a bone graft
Ultimately, the best decision depends on your long-term plan for that space—if you want an implant, grafting right away usually saves you both time and money later. It also keeps options open should you change your mind about an implant later. If you definitely dont an implant, the graft is usually less important.
💰 Cost in the Kane County, IL Area
Range: $700–900 per tooth in Kane County
Insurance typically covers part if related to tooth loss
At Teuscher Legacy Dental, our fee for a socket preservation graft is $869. That fee includes appropriate healing membrane, sutures, and follow ups as necessary.
Watch out- often you may be quoted a lower fee for a bone graft, but additional fees for a healing membrane and other peripherals. Don’t get taken advantage of! For more tips on how to price compare this type of procedure, check our implant pricing blog post.
📸 Section 5: Real Case Example (Before/After Photos)
Here’s a case where Dr Brayden Teuscher extracted a molar tooth and placed a bone graft. We detailed this case further in this blog post.
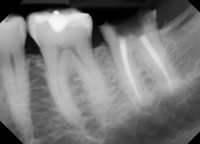
X Ray of Molar Before Extraction
Photo of Molar Before Extraction
Photo of Tooth Socket After Extraction, Before Bone Graft
X Ray of Extraction Socket, after filling with bone graft
Photo of bone graft with collagen plug and white sutures over the top
🙌 What to Expect During Recovery
Some pain, bleeding, and swelling are normal! Usually at Teuscher Legacy Dental we see you for a post operative check and suture removal at 1 week after the procedure. Below I pasted the words from our post operative instructions that we give to every patient after this type of procedure:
1. Bleeding
· Keep the gauze in place, biting down firmly for 30-45 minutes.
· If bleeding persists, use wet gauze and bite down for another 30 minutes. Always wet gauze before placing or removing it. A damp black tea bag can also be used for this purpose
· Oozing for up to 48 hours, especially at night, is normal.
2. Managing Sensitivity and Swelling
· Take any recommended medication as directed.
· Apply an ice pack near the extraction site for 15 minutes on, 15 minutes off during the first 24 hours.
· Switch to a warm compress after 48 hours to improve healing.
· Sensitivity may be more noticeable at night—sleeping with your head elevated may help
3. Avoid Disrupting the Clot
· Avoid rinsing, spitting, or using a straw for 24 hours.
· Do not smoke or vape for at least 48-72 hours—this increases the risk of dry socket.
· Stick to soft, cool foods; avoid anything hot, crunchy, or spicy. Also avoid foods that may get lodged in the socket
4. Bone Graft Care
· If a bone graft was placed, do not touch or disturb the area, including the stitches or membrane if placed.
· It is normal for small granules or particles to leak out during the first few days.
5. Oral Hygiene
· Brush and floss normally, avoiding the extraction site for 24 hours.
· After 24 hours, you can rinse gently with warm saltwater (1/2 teaspoon salt in 8 oz water) 2-3 times daily.
o If you choose to do this, be gentle. If it is irritating, stop.
6. Rest and Recovery
Limit physical activity for the first 24-48 hours. Rest with your head slightly elevated to minimize swelling and bleeding
7. Contact us IF:
· Excessive bleeding that does not stop after applying pressure for 1-2 hours.
Signs of infection, such as fever, chills, severe pain, swelling, or foul-tasting drainage from the extraction site.
Numbness or tingling that persists for more than 24 hours.
If one of the above occurs and you are unable to reach us, go to the nearest hospital Emergency Room.
🧠 FAQ’s
Frequently Asked Questions About Bone Grafting After Tooth Extraction
| Question | Answer |
|---|---|
| How long does a bone graft take to heal? | Most socket grafts heal in 3–6 months before an implant can be placed. Factors like overall health, graft material, and site location can affect healing time. Learn more in our post on bone graft preservation case . |
| Can you get a dental implant without a bone graft? | Yes — but only if there’s enough bone remaining to stabilize the implant. In many cases, skipping grafting after extraction causes significant bone loss within months, as discussed in our dental implants guide . |
| Is bone grafting painful? | No — with modern techniques and gentle care, most patients describe it as mild soreness similar to an extraction site. Our team uses advanced methods discussed in our St. Charles tooth extraction page to keep you comfortable during recovery. |
| What happens if I skip bone grafting? | Without a graft, the socket shrinks rapidly—losing up to half its width in just a few months. That can make future implants or bridges more difficult and expensive. See the full breakdown of costs and timing in our dental implant pricing article . |
| What materials are used for bone grafting? | We use biocompatible materials such as allograft (human donor bone), xenograft (bovine), and synthetic grafts, often covered with a collagen membrane and PRF to enhance healing. Details and case examples are shown in our bone graft case study . |
Information in this article is based on studies published in the Journal of Clinical Periodontology, International Journal of Periodontics & Restorative Dentistry, and Clinical Oral Implants Research. Clinical examples and post-operative guidelines are from Teuscher Legacy Dental’s own St. Charles, IL practice.
More Resources!
🧭 Want to Consult in Person? Or Want us to pull your tooth?
If you’re facing an extraction, our trained, award winning team in St. Charles can help you understand whether bone grafting makes sense for you—and show real examples of how it preserves your smile for years to come.
Schedule your visit →
My Tooth Hurts — Does It Need to Be Extracted? How to Know What’s Next
By Dr. Brayden Teuscher, Teuscher Legacy Dental — St. Charles, IL
💬 The Real Question People Ask
“My tooth’s been hurting on and off. Does that mean it needs to be extracted? — or could a filling or crown still save it?”
That’s one of the most common (and stressful) questions we hear.
No one wants to lose a tooth — and the truth is, extraction should always be the last resort, not the first option.
At Teuscher Legacy Dental, our job is to find out why it hurts before deciding what to do.
🔎 Step 1: Understand What the Pain Means
Tooth pain doesn’t always equal extraction.
Here’s how different types of pain often point to different causes:
| Type of pain | What it might mean | Typical solution |
|---|---|---|
| Sharp pain when chewing | Small crack or high bite | Bite adjustment or crown |
| Sensitivity to cold | Reversible inflammation | Desensitizing care or minor filling |
| Lingering ache after hot/cold | Nerve infection | Root canal or extraction |
| Throbbing pain or swelling | Abscess or deep infection | Root canal or extraction with graft |
| Dull pressure pain | Sinus pressure or clenching | Bite adjustment or night guard |
🦷 Step 2: Decide — Save or Extract?
We can usually save a tooth if:
The crack doesn’t extend below the gumline
There’s enough healthy structure for a crown
The bone around the root is stable
The root canal system can be properly treated
Extraction is the better choice if:
A vertical root fracture is confirmed on 3D imaging
There’s chronic infection or bone loss around the root tip
The tooth has failed multiple root canals
Mobility makes the tooth unstable
When extraction is necessary, it’s because the long-term prognosis is hopeless — not simply because the tooth “hurts.”
🧭 Step 3: What Happens After Extraction
If a tooth does need to be removed, your next question should be:
“How do I keep the bone from shrinking?”
That’s where socket preservation (bone grafting) comes in.
By placing bone material right after the extraction, we maintain the shape of your jaw so you can easily replace the tooth later — often with a dental implant.
Learn more: ➡️ A Real Patient Example of a Bone Graft After Extraction
⚖️ Step 4: Implant vs Bridge — What’s the Best Replacement?
When it’s time to replace the tooth, you’ll typically have two main choices (but I wrote a full comparison of these dental implant alternatives here):
1. Dental Implant
Replaces the root and the crown
Preserves bone and surrounding teeth
Can last decades with proper care
Doesn’t rely on neighboring teeth for support
2. Dental Bridge
Uses the two adjacent teeth as anchors
Fills the missing space with a porcelain “pontic”
Can be a good option when implants aren’t feasible (for example, if bone volume or medical conditions limit surgery)
However, a bridge requires reshaping the neighboring teeth — even if they’re otherwise healthy — and it does not prevent bone resorption under the missing tooth.
That’s why the American College of Prosthodontists recommends dental implants as the preferred single-tooth replacement whenever conditions allow:
“Implants demonstrate higher long-term survival rates and superior preservation of alveolar bone compared with conventional fixed dental prostheses.”
— American College of Prosthodontists Clinical Practice Guidelines, 2021
Additionally, a systematic review in the Journal of Prosthetic Dentistry found that:
“Single-tooth implants have a 10-year survival rate exceeding 95%, while fixed dental bridges average 80–85%.”
— (Pjetursson et al., J Prosthet Dent 2018;119(2):220–228)
So, while bridges can be appropriate in certain cases, implants typically provide the most stable, natural-feeling, and long-lasting result.
🤝 Step 5: Our Philosophy
If a tooth can be predictably saved, we definitely save it.
If it can’t, we’ll help you decide the best option for you.
Either way, you’ll understand why — before we do anything.
📍 Serving St. Charles, Campton Hills, Geneva & Elburn IL
Teuscher Legacy Dental provides comprehensive surgical and restorative care — from gentle tooth extractions and bone grafts to guided dental implants and smile makeovers — all under one roof. Come see us!
🦷 Real Bone Graft Case: How We Preserve Bone After a Tooth Extraction (Part 1)
By Teuscher Legacy Dental – St. Charles & Campton Hills, IL
When most people think about tooth extractions, they imagine a simple “pull and heal.”
But modern dentistry allows us to preserve the bone where the tooth used to be — usually for setting the stage for a future dental implant that looks and functions like a natural tooth.
This post walks you through a real case from our practice showing what happens before, during, and right after bone grafting. There are different types of bone graft procedures- this one is technically a “socket preservation graft” because it “preserves” the “socket” where the tooth used to be, by filling it with bone. So for this post that’s the type of graft we mean if we say “bone graft”.
In part 1, we will show and discuss the actual extraction and bone graft procedure. In Part 2, we’ll show how it healed and how we planned the dental implant using 3D CBCT imaging.
But First: should you even get a bone graft? Why do you need one? When is it OK to not have one?
I’ll give more detail in a future post. But below is a little more information. The short story is, socket preservation isn’t mandatory for every extraction — but it’s usually the smartest long-term choice if you plan to replace the tooth with an implant.
Here’s how the benefits and risks of socket preservation grafts compare:
| Decision | Benefits | Possible Risks / Costs |
|---|---|---|
| Perform Bone Graft (Socket Preservation) |
|
|
| Skip Bone Graft (No Preservation) |
|
|
Sources: Araujo & Lindhe 2005; Misch 2015; Pikos MA 2019; Kois Center Clinical Protocols.
👀 Step 1: Pre-Op Evaluation
Before removing the tooth, we assessed bone health and root position with detailed imaging. In this case, the tooth had a prior root canal and a cavity on the back side, which caused the crown to loosen and eventually fall off. This tooth could not be saved by a new crown, so it needed to be extracted to prevent risk of infection and further damage of surrounding tissue. After reviewing alternative options, this patient is planning on a future dental implant to restore the site.
Images:
X Ray of tooth #18 Prior to Extraction
Photo of tooth #18 prior to extraction
✅ Purpose: understand root formation, nerve anatomy, and ensure the socket walls are intact for grafting.
🦷 Step 2: Tooth Extraction
After gentle removal, the socket (the bony hole where the roots sat) is clearly visible.
Left alone, this socket starts to shrink immediately — studies show 30–60 % of ridge width can disappear within the first year after extraction (Araujo & Lindhe, Clin Oral Implants Res, 2005). That bone loss often makes future implants more difficult and can even affect facial contours.
Image:
The socket after gentle extraction.
*note for the adjacent tooth - we also did crown #19 that day, and this was before we cemented the temporary crown.
✅ Goal: Gentle extraction maintains socket integrity, keeping bone walls present, and prevents early bone collapse.
🧪 Step 3: Bone Graft and Collagen Plug
To prevent bone collapse, we placed a biocompatible bone graft into the socket.
The material acts as a scaffold that your body gradually replaces with living bone. Usually these bone grafts are from human cadavers, (allograft) but can also be from your own body (autograft), cows or horses (xenograft), or completely synthetic (alloplast).
In our case, we used a cadaver bone particle mix to fill the socket. A collagen plug and PTFE non-resorbable sutures were added to stabilize the area and protect the graft during healing.
Images:
A clear picture of the collagen plug over the top of the bone graft. You can see two of the white sutures as well.
After the bone graft. Notice where the roots used to be, the socket appears filled with bone particulate.
✅ Goal: preserve ridge volume, gum contour, and future implant site quality.
From here, the body takes over — blood flows into the bone graft and forms a clot- eventually forming new bone inside the socket over the next several weeks.
⏱ What’s Next
In Part 2, we’ll show:
The one-week post-op appearance
The 8-week CBCT scan showing regenerated bone
How we plan precise implant placement using guided surgery
💬 Why We Share Cases Like This
We believe you deserve transparency.
Seeing the actual process (not just a before-and-after) helps you understand why bone preservation matters and what is actually happening in the bone graft procedure.
Once bone is lost, it’s more expensive and less predictable to rebuild. Preserving it early gives you more control, fewer surgeries, and a more natural final result.
📍 About Teuscher Legacy Dental
St. Charles & Campton Hills, IL
Family-run, fee-for-service practice specializing in advanced surgical and cosmetic dentistry.
🏆 Voted Best Cosmetic Dentist in St. Charles 2025 by Business Rate.
Learn more about:
🔜 Coming Soon: Part 2
“How Bone Grafts Heal: 8-Week CBCT Results and Implant Planning”
We’ll show real post-op images, bone density changes, and how careful socket preservation makes precise implant placement possible.
Why Choose Teuscher Legacy Dental for Your Dental Implants
The difference between a dental implant and your dental implant is who places it, what materials and implant they use, how well they plan it, the quality of the final restoration, and the experience you have every step of the way.
If you’re considering dental implants in Campton Hills, St. Charles, or anywhere in the Fox Valley region, here’s why choosing Teuscher Legacy Dental is one of the smartest decisions you’ll make. AND- also why Teuscher Legacy Dental may not be the best fit for you! We will always be honest with you.
1. Expert Surgical Skill + Comprehensive Treatment Planning
Training & continuing education
Dr. Brayden Teuscher (and our surgical team) train with the top institutes (Kois, Spear, Implant Pathway, etc.), staying current in implantology, guided surgery, bone graft techniques, and full-arch protocols.Digital 3D planning & guided surgery
We use CBCT imaging and digital surgical guides so your implant is placed with precision, reducing risk and improving outcomes.Top quality implants and other materials
Not all implants are created equally. The brand of implant matters. We exclusively place Biohorizons dental implants, most often Tapered Pro. We also use top of the line bone grafting materials and techniques when necessary. It would be easy to cut costs and use inferior products, but we wont do that. More info on pricing is below!
Full scope of care under one roof
From extraction → grafting → implant → final crown/restoration, we coordinate and complete all phases to minimize surprises and preserve your comfort. One of the main reasons to see Teuscher Legacy Dental instead of a board certified oral surgeon is we can do the required surgeries and restorations all under one roof.High success & low complication mindset
We pride ourselves on strict surgical protocols, sterility standards, and careful case selection to maintain excellent outcomes.
2. Patient Comfort, Transparency, & Trust at the Core
Warm environment + aesthetic facility
From waiting room to surgical suite, we’ve designed a space that calms nerves, not raises them. See our reviews for proof that people from all around the Fox Valley feel relaxed with Teuscher Legacy Dental!Sedation / comfort options available
Oral sedation is available so you feel safe, relaxed, and in control. The TV’s on the ceilings are a digital sedative! And we have blankets, extra pillows, essential oils as needed. Many patients also choose to listen to their own headphones with music or a podcast.No hidden costs & clear financial pathways
We believe in transparency. You’ll see a breakdown of costs, grafting, implants, etc. More detailed cost info for us and any implant provider in St Charles, IL area here. We also offer in-house membership and flexible financing to help you make the investment.Real patients, real stories
Teuscher Legacy Dental showcase REAL before/after cases so you can see the quality and consistency you can expect. They aren’t AI enhanced or models. Other dental offices mostly are using stock photos on their advertising and websites.We’re personable, approachable, and human
You’re not a number. From your first call to follow-up care, you’ll interact with doctors and team members who value your peace of mind. Just look at our reviews for proof!
3. Locally Special, Regionally Trusted
Award-Winning Campton Hills & St. Charles roots
Voted Kane County Chronicle Best of the Fox in 2022 and 2024. Won BusinessRate’s Best Cosmetic Dentist in St Charles, IL in 2025
Serving the entire Fox Valley region
Many patients travel from across Batavia, Geneva, Elburn, and several fly in from out of state, because they know we provide care worth the distance.Competitive but not bargain
We differentiate on value, outcome, comfort, and trust. Our price ranges are slightly above average, generally around 70th percentile in the area.Community reputation + awards
Our cosmetic awards, patient reviews, and community presence strengthen credibility in a competitive market. Check us out on Facebook!
4. Depth of Content & Education Built In
Educational resources tailored to your case
You’ll find in-depth blog posts like “How we restored a front tooth with an immediate implant”, “How Implants Compare to Bridges or Dentures”, “What are the most common implant complications”, and more.Video + visual assets to demystify the process
We use video, animations, and X‑ray case studies so you can see and understand every phase. Check our recent blogs or our YouTube Channel. More on the way!FAQ sections built for your questions
We anticipate what you’ll wonder — pain, recovery, longevity, failure rates — and answer transparently.
5. What Sets Teuscher Legacy Dental Apart
| Differentiator | Why It Matters to You | How Teuscher Legacy Dental Proves It |
|---|---|---|
| A beautiful, calming office and a genuinely welcoming team | Your comfort matters — especially before and during surgery | We designed our space to feel like home, not a hospital. See our tour, team smiles, and real patient reviews. |
| We handle everything in one place — no referrals | Less running around means more consistent care and fewer surprises | From tooth removal to final implant crown, everything is done here by the same trusted team. |
| Aesthetic expertise that goes beyond “functional” | You want your new tooth to look as good as it works | We blend cosmetic precision into every implant — see our smile gallery and natural-looking results. |
| Transparent pricing and flexible financing | No one likes financial guesswork when it comes to their health | We walk you through your cost options clearly — and offer membership and payment plans to help. |
| Approachable, relatable doctors you can trust | Feeling comfortable with your provider is half the experience | Get to know us through intro videos, patient testimonials, and the way people talk about us in reviews. |
⚠️ Break to discuss Why We Might Not Be the Right Fit for Your Dental Implants
At Teuscher Legacy Dental, we’re confident in the care we provide — but we also know we’re not the perfect fit for every implant case. Here are a few situations where we may not be your best option:
1. You're Looking for the Absolute Cheapest Implants
We’re not the most expensive option — but we’re also not a “$999 implant special” clinic. If you’re strictly price-shopping, there are providers in the area that may better suit that goal. For the cheapest possible deal, you’ll be able to find plenty of places that offer “budget implants”. The best way to do that is Google “inexpensive dental implant near me” or something similar. Those offices tend to be running ads and you’ll see them pop up at the top of the search.
Bonus resource below for the deal hunters!
If you are trying to find ways to save money on dental implants, there are several tips and tricks here: Ways to Save on Dental Implants in St Charles, IL
Our dental implant, custom abutment, and crown come in at $6,100 total. We believe we provide excellent value at that price point.
2. You Require Total IV Sedation for Implant Surgery
While we offer oral conscious sedation and many of our dental implant patients have found that to be super helpful, we do not offer IV sedation or general anesthesia in-office. IV sedation or general anesthesia are when you actually “go to sleep” and are unconscious.
If you:
Have dental anxiety that can’t be managed with oral sedatives
Have a strong preference for being fully asleep during any procedure
Have a medical history that makes full sedation the safest route
...then you may be better served by an oral and maxillofacial surgeon (OMFS) with hospital privileges and/or IV sedation capabilities.
In fact, when you need deeper levels of sedation, here are the three oral surgeons near St Charles that we refer to most frequently:
🦷 Dr. Scott J. Genutis, DDS, MS
Campton Square Oral & Maxillofacial Surgery
40W165 Campton Crossings Dr., St. Charles, IL 60175
(630) 513‑6440
(Dr. Genuitis gets a bonus for being Teuscher Legacy Dental’s next door neighbor!)🦷 Dr. Matthew G. McKnight, DDS, MD
McKnight Oral, Maxillofacial & Dental Implant Surgery
605 Courtyard Drive, St. Charles, IL 60174
(630) 377‑7077🦷 Dr. Herbert D. Stith, DDS
Stith Oral & Maxillofacial Surgery
1131 Randall Court, Geneva, IL 60134
(630) 208‑6700
3. You Have Advanced Medical Complexity
We are experienced in handling medically stable patients with common conditions (e.g. controlled diabetes, hypertension, osteoporosis).
However, certain health issues may require care from an OMFS, especially if you have:
Severe immunocompromise
Severe bleeding disorders
Need for general anesthesia due to complex treatment plans
Certain cases with advanced bone loss requiring extensive bone grafting
If your case is outside the scope of safe in-office treatment, we’ll guide you honestly — and help you get care with the right specialist. We will make sure you are safe!
Final Thought: Trust Is Built on Transparency
If we’re not the best choice for your case, we’ll tell you — and we’ll even help you find the provider who is. But if you're looking for a high-trust, high-quality dental implant experience with expert care in a comfortable, patient-first environment… we’d be honored to meet you.
6. What You Should Ask Before Signing Up for Dental Implants
While shopping for an implant provider, here are questions you should consider asking:
Do they perform the entire surgical plan (including grafting) in-house?
What implant brand do they use?
What are possible “hidden fees”?
Do they use guided surgery / digital planning to reduce risk?
What is their success / complication rate?
How do they manage comfort, sedation, and pain control?
What are the refund or re-treatment policies if complications occur?
Do they offer financial flexibility? Under what terms?
Do reviews and testimonials reflect both surgical/restorative skill and patient care?
7. What You Can Expect: The Implant Journey with Us
More information on dental implant timeline here. But here is a brief overview:
Complimentary consult & 3D scan — We assess your bone, plan virtually, and show you treatment options.
Tooth extraction / grafting (if needed) — Conserving bone, placing graft when needed, letting healing take place.
Implant placement (surgery day) — Guided, precise, under comfortable sedation.
Healing & osseointegration — We monitor your progress, adjust, and manage expectations.
Abutment & restoration (crown / bridge / overdenture) — High-quality, esthetic, functional final prosthetic.
Maintenance & follow-up care — Regular checkups, hygiene, and monitoring to protect your investment.
At each stage, you’ll have clarity, choice, and comfort. No surprises.
8. Ready to Start? Here’s Options onHow to Move Forward
Call or text us today at 630-762-0000
Watch our short video case gallery and see transformations
Read related posts on our blog page
Meet Dr. Brayden in his bio section
Digital Smile Design: Preview Your Smile with the Award-Winning Cosmetic Dentist in St. Charles
What if you could easily preview your new smile, risk free? Teuscher Legacy Dental offers a FREE Digital Smile Design. It doesn’t lock you into anything, but is a fun way to see what your new smile could be! Schedule a free Digital Smile Design online!
What if you could see your new smile before committing to treatment?
Dr Jameson on why you should book a FREE Digital Smile Design at Teuscher Legacy Dental!
At Teuscher Legacy Dental, we make that possible with Digital Smile Design (DSD)—a powerful, high-tech tool that lets you preview your cosmetic dental results without ever touching a tooth. And we offer it completely free as part of our smile consultation.
We’re proud to have been named Best Cosmetic Dentist in St. Charles in 2025 by BusinessRate, an award based on real patient reviews and feedback.
What Is Digital Smile Design?
A real example of Teuscher Legacy Dental’s Digital Smile Design for one of our St Charles, IL patients.
Digital Smile Design (DSD) is a state-of-the-art cosmetic dentistry solution that uses high-resolution photos and advanced software to simulate your ideal smile. It’s personalized, pain-free, and non-invasive. And it’s just a few photos to make it happen!
Whether you’re interested in:
Porcelain veneers in St. Charles
Smile makeovers in Kane County
Professional teeth whitening
Cosmetic bonding
Even a full smile transformation…
DSD is the ideal first step to explore your options—risk-free and visual.
How Digital Smile Design Works
We take a few professional photos of your current smile.
Our award-winning cosmetic dentist crafts a digital smile mock-up—customized to your facial features, tooth proportions, and preferences.
You preview the transformation—before any treatment ever begins.
No drilling. No irreversible changes. No obligation.
Why Patients in St. Charles & Geneva Love Digital Smile Design
✅ You See Your Smile First: Visualize your results in advance—no guessing.
✅ It’s Free and Risk‑Free: We offer this premium service at absolutely no cost so you can make confident decisions.
✅ No Dental Work Required: The preview is entirely digital. Your natural teeth stay untouched.
✅ You Stay in Control: Give feedback, request tweaks, and co-design your perfect smile.
✅ No Pressure, Ever: Some patients decide not to go ahead—and that’s okay. We’re here to inform, not force.
Why We Offer DSD at No Cost
Many patients feel uncertain before starting cosmetic dental work. We eliminate that hesitation by offering a complimentary Digital Smile Design consultation in our St. Charles / Campton Hills office. Not everyone goes through with cosmetic dental treatment, but this is a fun way to see what’s possible!
Our philosophy: When you’re informed and excited about what’s possible, technical details and financial decisions fall into place more naturally. If you choose not to move forward, no problem!
Meet the Best Cosmetic Dentist in St. Charles
We’re honored to be recognized as the Best Cosmetic Dentist in St. Charles. This award reflects our commitment to superior outcomes and patient satisfaction.
At Teuscher Legacy Dental, we blend artistry, technology, and empathy to help you achieve a smile you truly love. Want to learn more about our team and credentials? Check out our About Us page.
Related Resources & Further Reading
Want to explore more of our cosmetic services? Visit our Cosmetic Dentistry page to see how veneers, bonding, and whitening work together.
Curious about implant restorations and how they tie into smile makeovers? Read our blog post “How We Restored a Front Tooth with a Dental Implant” to see how DSD guides advanced cases.
Ready to See Your New Smile?
Book your free Digital Smile Design consultation Online today with the top-rated cosmetic dentist in St. Charles. Let’s co-design a smile that looks and feels like you, only better.
How We Restored a Front Tooth with a Dental Implant — Start to Finish
In this video Dr Brayden details a cosmetic front tooth dental implant case start to finish.
When it comes to your smile, the front teeth do all the talking.
They’re what people notice first. So when a front tooth is missing or damaged — whether from trauma, decay, or failed restorations — it’s not just about replacing it. It’s about doing it perfectly in the smile.
In this case study, we’ll walk you through one of the more complicated — and rewarding — procedures we do at our practice: a front tooth dental implant. You’ll see how much thought, planning, and precision goes into restoring one small tooth… and why every step in the dental implant process matters.
Why Front Tooth Implants Are So Demanding
Unlike molars, where strength matters to a higher degree, replacing a front tooth is has much to do with aesthetics, symmetry, and subtlety, in addition to bite force management.
Here’s why it’s such a technical and artistic challenge:
Any tiny mismatch is obvious. The color, shape, gumline — everything has to match the neighboring teeth.
The bone and gum are thin. That makes it easier for collapse or shadowing to occur.
We’re working in the “esthetic zone.” This area demands precise planning, sculpting, and soft tissue support. Thankfully all our doctors have advanced training in cosmetic dentistry.
Our Step-by-Step Process
Plan the End Smile result before Beginning.
We always start by planning the end result! We can do this digitally. See here for more information on our digital smile design. We also need to take a step back and understand what is important for our patient, and what risks are present in the process. Patients may need a front tooth implant for different reasons, and we want to understand those reasons and plan accordingly. We may be dealing with gum disease, bite forces, and challenging esthetics. Knowing the risks beforehand, and pre-planning the smile design digitally allows a more predictable result in the end. This is the MOST IMPORTANT STEP!
In our case study, we were managing bite forces and esthetics, which I detail in the video.
This first step also helps make sure the patient is on the same page with what to expect a final result to look like. We also go over financial details and timeline. This way the patient knows what to expect every step of the way!CBCT 3D Planning
Before taking any teeth out or diving into implant placement, we start with a CBCT scan to evaluate the bone structure in 3D. This shows us the height, width, and quality of bone, and how close we are to adjacent roots or anatomical structures. Planning the exact implant location here prevents complications later.Site Preparation & Grafting (if needed)
If the facial (lip-side) bone is thin or damaged, we may use bone grafting or soft tissue grafts to build a strong foundation. Without this, implants can fail — or look unnatural as gums recede. Sometimes, as in our case study, this is done at the time of implant placement.Implant Placement
Often using a guided technique (with a 3D printed surgical guide), we place the implant with extreme precision. It must sit in a position that supports both the future crown and the surrounding gum tissue for a natural look. The exact location is already planned prior to surgery in our CBCT software.Provisional Tooth (Temporary)
In the front of the mouth, we never leave a visible gap. A temporary tooth (provisional) is placed to shape and support the gum tissue during healing. This sculpting phase is key for a beautiful final result. I didn’t go into detail on this in our video. There are various ways to do this while the implant heals though, including a removable partial denture, an essix retainer, or immediately loading the implant with a temporary crown.Healing & Monitoring
Over the next few weeks or months, we monitor soft tissue healing. Sometimes we adjust the temporary to guide gum shaping. Patience here pays off — rushing this stage can lead to esthetic failure. One of the biggest risks in front teeth implants is gum recession!Final Crown
Once everything is stable, we place the final custom crown. Shade, translucency, shape, and surface texture are all matched to your natural teeth so the implant blends in seamlessly.
Common Questions Patients Ask About Dental Implants
“Will I be left without a front tooth while it heals?”
No — we always provide a temporary restoration that looks natural during healing. In the case in the video, because he had just finished orthodontics, we used an essix retainer that replaced the missing tooth in his smile without putting stress on the implant. Importantly in this case, it also acted as an orthodontic retainer.
“How long does this take?”
Depending on the case and whether grafting is needed, expect several months from start to finish. We want to be patient to ensure optimal outcomes, and yet get the patient a permanent smiling tooth as quickly as possible.
“Will it hurt?”
The procedure is done under local anesthesia. We can always add oral sedation if the patient is anxious. Most patients report only mild soreness afterward.
“How natural will it look?”
If all the steps are followed carefully — especially tissue shaping and crown customization — it will be nearly impossible to tell it’s not your original tooth. Check out our video case study to see more.
5 Signs You’re in the Right Hands
If you’re considering a front tooth implant, here are signs your dentist is doing it right:
They use 3D imaging to plan implant position.
They talk about tissue grafting or at least soft tissue support.
They place a temporary tooth to guide healing.
They explain shade matching, gum contouring, and long-term esthetics.
They show you more than just before/after pictures — they walk you through the process and make sure all your questions are answered.
BONUS: Way more detailed tips and tricks to know what you are paying for and to ensure the implant is high quality!
Final Thoughts
Replacing a front tooth with an implant isn’t just dental work — it’s dental artistry. Cosmetic dentistry is more than just placing an implant in your jawbone. And when it’s done right, the result is a smile that looks and feels completely natural.
If you’ve lost a front tooth — or are considering replacing a failing one — we’d be honored to guide you through your options. Let us know if we can help!
What Are the Most Common Dental Implant Complications (and How Do You Prevent Them)?
Making an informed decision about dental implants starts with knowing both the benefits and what can go wrong. While implant surgery is considered very safe and has high success rates, like any surgical procedure there are possible complications. Knowing what the complications are—and how to prevent them—helps us deliver the best outcome for you.
Here are the most common complications after dental implant surgery, and how to avoid them.
What Are the Most Common Dental Implant Complications?
Infection / Post‐Surgical Infection
Infection of the soft tissues or even the jawbone around the implant is one of the most frequent complications. It may present as swelling, redness, pain, discharge, or delayed healing. How do you tell if it’s more pain or swelling than normal? As a rule of thumb, throbbing pain or swelling that oozes are red flags. Here’s more detail on what to expect after implant placement. PMC+2PMC+2Peri‑implantitis and Bone Loss
Basically, peri-implantitis is Gum Disease of an Implant. More technically, it is inflammation of the gum and bone around an implant (similar in to periodontitis around a natural tooth). If left untreated, it can lead to bone loss, gum recession, and loosening of the implant. Prevalence of this is reported as significant. For example, a recent study found some level of peri‑implantitis in ~12% of cases. PMC+1 The biggest risk factors are presence of existing gum disease, smoking, and other medical factors.Failure of Osseointegration (Early or Late Implant Failure)
Osseointegration is the fusing of the implant to your jawbone. It takes time for the bone to heal properly and grab onto the implant. If this doesn’t happen properly—because of poor bone quality, overheating during drilling, micromovement, or certain medical or lifestyle factors—the implant may “fail” early. A large study found an implant failure rate of about 3.11% under certain conditions. Medical considerations aside, the biggest risk factor for failure was jawbone quality. Different areas of your mouth have more dense bone. In general, the back of the top jaw has the softest bone, most prone to failure of osseointegration. jomos.org+2PMC+2Anatomical Complications
Sinus perforation: this is when a hole is accidentally poked into your sinus during the implant surgery. This only happens in the upper jaw toward the back when there is insufficient bone height. Many times this actually doesn’t cause any long term damage. Progressive Implantology & Periodontics
Damage to nerves or neighboring structures, especially if implant placement is not precisely planned prior to surgery day. PMC+1
Poor Aesthetic Outcome and Soft Tissue Problems
Gum recession, uneven gum height, or exposure of metal parts of the implant/abutment can occur. These issues are more subtle but very important to patients who care about appearance and comfort. Especially in front teeth. Thin gum tissue is a risk factor. Generally, thicker and pinker (more keratinized) gum tissue is more resilient and less likely to recede.Mechanical Complications
Things like loosening of screws, fracture of components, or wear of the crown/abutment can happen, especially if forces (chewing, grinding) are not well managed. PMC+1
How These Complications Can Be Avoided
Here are the steps we take (and you can ask your dentist about) to reduce risk and get the best long‑term results:
Comprehensive evaluation before surgery
CBCT (3‑D imaging) is used to assess bone quantity and quality and check for any sinus or nerve issues. There should be an evaluation of overall health (e.g., diabetes, smoking, medications) and other risk factors. Gum health should also be assessed (are there active gum infections?) and whether bone grafting is needed.Use of guided surgical planning
Digital planning and surgical guides help dentists place implants at the right angle, depth, and position, avoid critical anatomy (sinus, nerves), and preserve bone and soft tissue.Strict surgical protocol and sterile technique
Proper sterilization, use of antibiotics when indicated, gentle handling of tissues, and avoiding overheating bone (by using new drills, irrigation, etc.). This ensures initial implant stability.Patient selection and lifestyle modifications
Patients who smoke are at higher risk. So are those with poorly controlled systemic conditions (e.g. uncontrolled diabetes). Patients should know about these issues before implant placement.Good post‑operative care & hygiene
This includes following up visits, professional cleanings, teaching patients how to clean their implants properly (around the gum line), monitoring for early signs of inflammation or infection.Proper prosthetic design and load management
Ensuring the prosthetic crown fits well, the occlusion (bite forces) is correct, no undue overloading (especially for patients who grind or clench).Ongoing maintenance and monitoring
Regular check‑ups every 6‑12 months (or more often if risk factors exist), radiographic checks to monitor bone levels, assessment of gums and soft tissues, and intervention at any early sign of trouble (peri‑implantitis or mucositis, for example).
What the Studies Show Us
The 2024 “Assessment of Complications in Dental Implant Surgery” study found that infection was the most common postoperative complication (~15.3%), followed by peri‑implantitis (~12.0%). PMC
A 2022 study in Journal of Oral and Maxillofacial Surgery (or Journal of Oral & Maxillofacial Implantology) reported an implant failure rate of 3.11%, with peri‑implantitis being a primary late complication, particularly in poorer bone types (Type III/IV bone). jomos.org
In “Risks and complications associated with dental implant procedures” (Dutta et al., 2020), factors like overheating of bone, insertion mistakes, and systemic health issues (smoking, diabetes) were shown to contribute to higher complication/failure rates. PMC
Bottom Line
Dental implants are among the most reliable solutions for missing teeth — especially when done with specialized care, in a knowledgeable practice, using modern imaging and techniques. As always, you want to anticipate potential risks, minimize them, and catch any problems early, so you can enjoy both beauty and function for many years with confidence.
If you’re in the Fox Valley area considering implants and want to understand your risks and options, schedule a complimentary consultation today!
What to Expect After (and How to Prepare For) Dental Implant Surgery
Introduction
If you’re scheduled for dental implant surgery, you probably have questions. What’s the recovery like? What can you do to prepare? At Teuscher Legacy Dental, we believe the more you know, the smoother your dental implant experience will be. Here’s a straightforward guide to help you feel confident before and after your procedure.
How to Prepare for Dental Implant Surgery
Medications: You may be prescribed antibiotics, anti-inflammatories, or a mild steroid. Take these exactly as directed—usually beginning the morning of surgery
At Teuscher Legacy Dental, we typically prescribe:
Antibiotic: Amoxicillin (2 gm) 1 hr before surgery (or azithromycin if amoxicillin allergy)
Analgesic: Ibuprofen (800 mg) 1 hr before surgery
Glucocorticoid: Dexamethasone (4mg) 1 tablet morning of surgery, 1 tablet morning after surgery
Mouthrinse: We typically do not normally prescribe mouthrinses anymore. We used to do Chlorhexidene, but we believe its side effects outweigh its benefit.
Sedation: Oral conscious sedation if needed, most often using Triazolam 1 hour prior to surgery
Sedation & Driving: If sedation is planned, arrange a ride to and from the office. Don’t drive or operate machinery for 24 hours afterward.
Lifestyle Factors: Smoking and alcohol interfere with healing. Ideally, avoid both for at least several days before and after surgery.
Why not smoke after implant placement? Smoking restricts blood flow and oxygen, which can delay implant healing and increase the risk of implant failure.
What to Eat Beforehand: Have a light meal unless instructed otherwise. Stock your fridge with soft, cool foods (yogurt, smoothies, mashed potatoes, eggs, soup) for afterwards.
What to Wear: Comfortable clothes. Short sleeves if you’re receiving IV sedation. No need to dress up!
What to Expect After Implant Surgery
Bleeding/Oozing: Light bleeding is normal for 24–48 hours. Keep firm pressure for 20 minutes at a time will help blood to clot.
Teuscher Legacy Dental gives you gauze to take home. Be sure it is wet when you take it in and out to avoid pulling the “oral scab” off!
Swelling & Bruising: Usually, swelling and bruising are minimal. But if you have some, it should peaks around 48–72 hours afterward. You can use ice packs (15 minutes on, 15 minutes off) during the first 24-48 hours. Switch to warm compresses after 2–3 days.
Discomfort: Expect mild soreness, typically managed with ibuprofen or other prescribed pain relief. If you are just getting one or two implants placed, discomfort should be relatively mild.
The BEST pain relief tends to come from a combination of ibuprofen and tylenol. If it’s safe for you medically, then a great protocol is 600mg ibuprofen, then 4 hours later, 500mg tylenol. and rotate those medications every 4 hours. This is almost always better pain relief than a narcotic would provide.
Diet: Stick to soft foods for several days. Avoid hot, crunchy, spicy foods, or straws the first day to protect healing. (Straws may suction out the blood clot)
Activity: Rest for 24 hours. Avoid heavy exercise for 48 hours. Light walking is fine. If the area starts to throb, you should back off.
Oral Hygiene: Brush and floss normally, but avoid the surgical site for 24 hours. After the first day, you can gently rinse with warm saltwater if comfortable.
What to eat afterward: Soft, nutrient dense foods. Veggie smoothies are a good option! Avoid things that could get caught near the healing implant, like chips or popcorn. Hydration with electrolytes is ideal.
Healing Timeline
I have a much more detailed implant timeline in this post! But here is a shorter version:
First 2–3 Days: Swelling, bruising, and tenderness are most noticeable.
First Week: Stitches may be present; discomfort is usually minor by this point. Stitches either resorb on their own, or are taken out after one week
At Teuscher Legacy Dental, we typically see patients for a brief one-week post op visit to ensure healing is progressing well. We take out stitches at this time.
1–2 Weeks: Most patients feel back to normal.
3–6 Months: The implant integrates (osseointegration), which means the bone grabs on to it tightly enough to place the permanent crown. The timeline between 3-6 months depends on the density of the bone the implant is placed in.
At Teuscher Legacy Dental, we often are able to safely speed this timeline up to 8 weeks total bone healing due to our unique surgical technique. Sometimes a longer healing is necessary though.
Final Step: Once the implant has fused into the jawbone (integrated), we can attach the custom abutment and crown—your permanent new tooth.
When to Call Your Doctor
Contact your doctor if you notice:
Heavy bleeding that doesn’t stop with pressure
Severe pain not controlled by medication
Signs of infection (fever, chills, swelling, foul taste)
Numbness or tingling lasting more than 24 hours
Closing
Dental implants are a life-changing investment in your smile and health. Preparing well and knowing what to expect makes the process much easier. If you have any questions before or after surgery, call us at 630-762-0000. Even if you didn’t do the surgery with us. If you are in the Fox Valley or surrounding areas in Kane County, Illinois, Teuscher Legacy Dental can help you with dental implant questions.
👉 Want more detail on costs, timelines, and implant options? Explore our other guides on the Teuscher Dental Blog.
The Step-by-Step Guide to Dental Implants: Timeline for Patients
Dental implants are one of the most reliable, long-lasting solutions for replacing missing teeth. At Teuscher Legacy Dental, we combine advanced technology with personalized care to ensure your implant journey is comfortable and successful. Below is detail on each step in the entire dental implant process, which will also give you an idea of the total timeline for dental implants.
Step 1: CBCT Scan & Planning Consultation
Why it matters: The foundation of a successful implant starts with precision planning. During your consultation, our doctors use a cone-beam CT (CBCT) scan to create a 3D model of your teeth, bone, and jaw structure.
CBCT imaging allows us to measure bone density, identify vital structures (like nerves and sinuses), and plan the exact position of your future implant.
Using digital treatment planning, we design a custom surgical guide to ensure the implant is placed with millimeter accuracy.
Step 2: Tooth Extraction (If Needed)
If the damaged or non-restorable tooth is still present, it will be gently removed. Our team uses techniques that minimize trauma to the surrounding tissue, which helps preserve bone for the implant.
In many cases, we can place the implant immediately after extraction if the bone quality is sufficient.
If the site requires strengthening, we move to the next step: bone grafting.
Step 3: Bone Grafting & Ridge Preservation
Not every patient needs a bone graft, but it’s common when bone volume is insufficient to support an implant.
We may place a bone graft material into the socket after extraction (ridge preservation).
The graft strengthens the jawbone, ensuring a stable foundation for the implant.
Healing time varies, usually between 2–6 months, depending on the extent of grafting.
Step 4: Dental Implant Placement
Once the bone is ready, the titanium implant post is placed into the jawbone. This step is done with local anesthesia and advanced guidance technology for accuracy. Many of our patients prefer oral sedation to be even more comfortable!
The implant acts as the “root” of your new tooth.
Most patients experience only mild soreness, usually less than having a tooth extracted.
In select cases, we can place a temporary tooth the same day for aesthetics.
Step 5: Healing & Osseointegration
After placement, the implant undergoes a natural healing process called osseointegration. This means the bone fuses to the implant surface, creating unmatched stability.
Healing typically takes 3–4 months, though timelines vary.
During this time, we can provide a temporary crown, bridge, or removable appliance so you can smile with confidence.
Step 6: Final Restoration
Once healing is complete, we attach the custom abutment and crown.
The crown is designed to perfectly match the shape and color of your natural teeth.
Our high-quality ceramic materials are both durable and lifelike.
The result: a tooth that looks, feels, and functions just like your own.
How Long Does a Dental Implant Process Take in TOTAL?
As we’ve detailed, dental implant can vary. But you can expect 3 months on the short end, and up to 1 year on the longer end.
Why Choose Dental Implants?
Long-term durability: Implants often last decades with proper care.
Bone health: They prevent the jawbone shrinkage that occurs with missing teeth.
Natural esthetics: They blend seamlessly with your smile.
Ready to Restore Your Smile?
At Teuscher Legacy Dental in St. Charles, IL, we take pride in guiding patients through every step of the implant process. Whether you need a single tooth replacement or a full-arch dental implant solution, our team is here to deliver care that is precise, compassionate, and designed to last.
Call today to schedule your FREE dental implant consultation and discover if implants are right for you
P.S.- For more info on making dental implants more affordable, check this link! 👉 How Much Do Dental Implants Cost?
Natural Ozempic or Wegovy… Chew on it!
Proper chewing has huge digestive and health benefits. See why chewing can help replace GLP-1 agonists like Ozempic and Wegovy. You need solid teeth to chew properly!
Camels know a free and natural way. to stimulate GLP-1!
I originally wrote about chewing back in 2023. Check the original here!
Here’s why I am writing about chewing AGAIN.
My friend is a nutritional therapist. I asked her over the weekend what her number 1 hack for better nutrition is. I expected her to say something about raw vegetables. But what she said was:
“Chewing. For sure. People need to chew their food more. It helps with every other part of digestion!”
I’ll save the United States citizens $39 BILLION in the next paragraph… and after that: a bunch more reasons to chew
🧬 Nature’s Ozempic? Just Chew.
In 2023, sales for GLP-1 agonists like Ozempic and Wegovy totaled $39 Billion. These drugs make you feel more full. When you’re full, you eat less. Then you lose weight!
Before you go for the drugs, know this: chewing makes you feel full. Chewing your food slowly helps stimulate the release of GLP‑1, the same hormone targeted by medications like Ozempic and Wegovy. Simply increasing the number of chews per bite significantly elevates post-meal GLP‑1 and related hormones. And chewing is FREE.
But here’s the problem: if you’re missing teeth, especially molars, chewing is sometimes impossible. That means your natural fullness switch is stuck in the off position.
In case you need more convincing… Below is even more info on why your chewing matters!
Dr Brayden’s original, underslept and overcaffeinated call to chew more!
It Relieves Stress
Do you clench or grind your teeth when you’re stressed? That’s pretty common, and it's known that chewing is related to stress reduction. While there can be many root causes for clenching and grinding, it certainly can be a coping mechanism to help relieve stress. And chewing food does the same thing for stress reduction.
You Get a Work out!
I’d especially advocate chewing for growing children. There’s a well-documented epidemic of small jaws in developed countries, leading to increased need for orthodontics, diminished breathing ability, and poor facial esthetics. That’s why “Mewing” has become so popular. Western societies eat more soft, processed foods. Our jaws aren’t developing like they used to because we don’t chew like we used to! When we don’t exercise our jaws in our youth, they don’t grow to the proper size. Part of the problem is our new, processed foods are less nutritious, but the majority of the blame is on a lack of chewing in childhood. I’ll write more about this in a future blog post.
Missing Teeth → Missed Brain Signals
If you can’t chew properly, you skip key signals that help your brain know you’ve had enough. That can lead to overeating or always feeling hungry after a meal—even if you “technically” ate enough.
Poor Chewing = Poor Nutrition
People with fewer teeth often avoid fibrous, crunchy, or protein-rich foods. The result? Lower intake of fruits, vegetables, and essential nutrients—and higher risk for malnutrition and chronic conditions (Dinoi et al., 2023).
Long-Term Health Takes a Hit
Chewing is more than a bite-and-grind motion. It’s linked to:
Brain health and neuroplasticity
Bone density in your jaw
Facial structure and confidence
Even risk of death - yes, really.
✅ What You Can Do If You're Missing Teeth
Dental implants or bridges: Restore chewing function and help you stimulate those natural fullness hormones again.
Denture upgrades: A stable denture that actually lets you chew can still beat a lifetime of sipping purées.
Soft foods with texture: Cooked veggies, mashed beans, and minced meat can provide some chewing stimulus even with partial dentition.
Mindful eating: Slow down, take smaller bites, and let your brain catch up with your gut.
TL;DR
Chewing isn’t optional—it’s foundational. Missing teeth doesn’t just make meals less enjoyable. It short-circuits fullness signals (like GLP‑1), reduces nutrition, alters your face and smile, and increases long-term health risks.
So if you’ve been told to “chew your food more,” now you know why: it’s your body’s free, natural, no-side-effect version of Ozempic.
Need help restoring your ability to chew? We can help. Give us a call or text!
-Dr Brayden Teuscher
How Much Do Dental Implants Cost in St Charles, IL?
Dental implants can be pricey. The REAL PRICE RANGE for a single dental implant in the St Charles, Illinois area is between $4,500 to $7,000 total (including the post, abutment, and crown). At our practice, the price comes out to just under $5,800 total. This post gives details on WHY there is a big range, and pro tips on how to save money on dental implants. Check it out!
Dental implants in Kane County, Illinois can get pricey.
In St Charles, Campton Hills, Elgin, Geneva, or Batavia, the REAL PRICE RANGE for a single dental implant is between $5,200 to $7,000 total (including the post, abutment, and crown) This is an accurate price range in the Kane County, Illinois area. Why such a large range? We will break it down below.
In fact, at Teuscher Legacy Dental the real prices for the implant, custom abutment, and final crown add up to just under $6,100. No extra fees. Why is our price point on the higher end? Read below for more detail!
Why such a big price range?
That $5,200-$7,000 total price generally includes the digital planning, implant surgery, implant post, abutment, and final crown. Sometimes, you’ll see lower prices advertised, but it may not include EVERY step in the implant process. Below is more detail what affects the price, a real price range, how to know what you are paying for, and several PRO TIPS to make getting a dental implant more affordable. Remember this is for a single dental implant. If you get multiple at once there is often a discount.
Full Price Breakdown for a single dental implant (showing approximate bell curve range fees for Kane County area in 2025)
Dental Implant Surgery: $2,400-$2,900
Implant Custom Abutment: $1,100-$1,300
Implant Crown: $1,700-$2,100
Extraction Fees (when necessary):
Extraction: $270-$300
Surgical Extraction: $400-$450
Socket preservation bone graft: $700-900
Other Possible Dental Implant Extra Fees:
Bone graft at time of implant placement: $800-$1,000
Second stage implant surgery: $800-$1,000
Membrane to protect implant/graft: $850-$1,000
Soft Tissue graft: $1,000-$1,300
Biologic materials (platelet rich fibrin, etc): $650-800
CBCT imaging: $340-$440
Surgical guide: $300-$500
Sedation (wide range, could be IV or oral sedation): $300-$600+
Nitrous Oxide: $100-$150
What Affects the Price?
Three parts that you pay for: Dental Implant Post, Abutment, and Crown
⚒️ Parts Used
A dental implant is basically a titanium post that permanently is in your jawbone. But not all dental implant posts are the same! There are literally hundreds of implant manufacturers worldwide. These come with important differences in quality. The cheaper the manufacturing process, the more affordable. Sometimes it is 3x or more less expensive to use a low-quality dental implant. But often, less expensive = more risk to the patient.
PRO TIP: Ask your dentist what brand of implant they use. BioHorizons, Astra, Nobel, Zimmer, and Straumann are considered excellent manufacturers. There are other reputable brands too, but that list gives you a start.
Teuscher Legacy Dental places Biohorizons implants almost exclusively.
👑 Type of Crown
Just like with implant posts, there’s a wide range in quality for the abutment (the piece that connects the implant post with the crown), and the final crown (the actual chewing tooth part). Custom abutments (as the name implies) are customized to your implant and crown. It is less expensive to use a ”stock abutment”, but doing that *may* compromise quality in various ways. Some offices make crowns in-house, others use an outside dental laboratory. The laboratory could be local, or literally in another country. There are also different crown materials, some softer, some better looking. All of these factors influence price.
PRO TIP: Ask your dentist what type of laboratory support he or she will use on your crown. Bonus: Ask what type of material your crown will be made of.
Teuscher Legacy Dental has several local labs we work with, and one other located in Seattle for our highest end esthetic cases. Almost always we are using tooth colored zirconia crowns with custom shading to best match natural tooth color.
Example of Teuscher Legacy Dental’s 3D implant Planning Software
🖥️ Technology Used
3D scans (CBCT imaging) and digital planning lead to better fit, healing, and long-term success. A 2D X-Ray is less expensive, but also doesn’t allow for the same precision in planning where the implant post will sit in your jawbone. Sometimes, a dentist will use the 3D scan to generate a surgical guide, which allows for even greater precision when surgically placing the post.
Immediate Implant or Implant Placement after healing
Sometimes, an implant can be placed at the same time a tooth is extracted. This is called an “immediate implant”. It is great because it often trims a few months from the total timeline. An immediate implant is not always possible- it depends on the tooth that is extracted, existing bone quality, proximity of nerves and sinus and a few other factors. For a full case study of an immediate dental implant Dr Brayden did for a St Charles patient, check the video below.
Dr Brayden walks through an immediate dental implant case for a St Charles area patient.
🧠 Expertise of the Dentist and Team
A trained implant dentist who handles both surgery and crown placement can save you time and prevent problems. Actually, if a dentist does both the surgery and the restoration, it likely will save you money, and possibly be more convenient for you to stay at one office. The quality of the surgical assistants also matters!
At Teuscher Legacy Dental, Dr Brayden Teuscher has advanced training and experience in both surgically placing and restoring dental implants.
🗳️ What’s Included
When you get a price estimate from the office, pay attention to all that is included. You should see fees that at least cover the CBCT planning, Implant post surgery, Abutment, and Crown. Sometimes, offices will include all these services in a single fee for less confusion. Other possible expenses would be an extraction and bone graft prior to implant placement, a surgical guide, or sedation during the surgery. Be aware of extra fees with dental implant treatment like what we listed above.
PRO TIP: Ask your dentist what extra fees there might be during the ENTIRE PROCESS, from extraction to final crown.
REAL PRICE RANGE: Total, including the post, abutment, and crown, dental implants usually cost $5,200 to $7,000 total per tooth in the Kane County, Illinois area.
What to Watch Out For
⚠️ Too-Good-To-Be-True Prices
Super low fees may leave out steps or use low-quality materials that can lead to implant failure. If something seems too-good-to-be-true, ask some of the Pro Tip questions above.
⚠️ Multiple Offices
Seeing multiple offices or providers isn’t always bad! In the Fox Valley there are many great dentists and surgeons! But usually seeing multiple means the quote one office gives does not include the quote for the other office. For example, an oral surgeon will quote the surgical fees, but not the final abutment or crown fees.
PRO TIP: If seeing multiple providers for your implant process, get all the fees from both offices before agreeing to treatment. Use the PRO TIP questions above at both offices.
⚠️ Generic Crowns and Abutments
Custom abutments and crowns mimic a natural tooth
A generic crown or abutment can be a big financial cost saver, but often comes with risk. For best outcomes, crowns should be custom-fit for your bite and smile. One-size-fits-all crowns and abutments can look off, wear down fast, and possibly cause other bite issues.
PRO TIP: In your quote, look for the word “Custom”. Usually you will see “Custom Abutment” as one item you are paying for. Or, just ask your dentist if they use custom abutments and crowns.
Ways to Save
🗓️ Schedule Treatment in Advance
Usually the implant process involves multiple steps scheduled months apart. So not all the payment will be due at one time. Plan months in advance either to save, or delay expense til later. For example, you may be able to wait a full year or more between getting the implant post surgery and paying for the actual crown.
PRO TIP: Ask how long you can go between steps in the process.
💳 Monthly Payment Plans
Most offices will offer flexible payment options. Sometimes with 0% interest.
PRO TIP: Even if you could pay cash up front, still ask about payment plan options. You also could ask about a cash discount, or a pay-in-full discount.
🏦 Use HSA or FSA
In addition to dental insurance benefits, many patients use HSA or FSA accounts to pay for dental implants for tax advantages. This alone could effectively reduce your total price substantially.
🏠 All-in-One Office
An office that does both the surgery and the restoration usually saves you money, but also time and the hassle of going to multiple offices.
A dental crown (right) sits on top of the abutment (left)
Learn More
Here’s more info from Teuscher Legacy Dental on dental implants:
Blog Post: Implant supported dentures Explained!
Blog Post: Dental Implants and Alternative Options
Blog Post: Dental Implant Steps and Timeline
More information on Dental Implants in Campton Hills, Illinois at Teuscher Legacy Dental
Want to Know If You’re a Candidate?
We offer every step of the dental implant process in our office, and help people from St Charles, Campton Hills, Elgin, Batavia, Geneva, Elburn, and beyond. New patients get a FREE consult and CBCT to evaluate for implants. Ready to schedule?
Do You Really Need a Crown? Here’s How to Tell
🦷 “My tooth doesn’t hurt…”
The cracks in this tooth put it at risk of splitting.
Has your dentist told you you have a tooth that needs a crown? 👑 Here’s what really happened to one of our patients who didn’t want a crown, and knew the risk of not getting one. The truth is - he didn’t “need” a crown at all!
What’s the Risk?
“I know this tooth might split and need to be extracted in the future. And I know a crown would prevent that. I just don’t want a crown right now.” That’s what our patient told us. And that was logical answer! And not getting a crown proved to be a good decision - at least for a time.
In fact, our patient never had any issue for three years!
Here’s what actually happened to this patient:
📸 Year 1: Small crack visible. No pain.
📸 Year 2: Crack unchanged. Still no symptoms.
📸 Year 3: Tooth split in two — no longer restorable. Extraction needed. This split happened all at once, in a single chew. Could have been a popcorn kernel 🍿…
📸 The Result: The space where the tooth used to be. A crown would have prevented extraction.
Next step: Dental Implant to replace the tooth
So did the tooth need a crown?
❌ No! It didn’t NEED a crown right away — it functioned fine for two full years. When it broke, we extracted it and replaced with a dental implant. Remember though, not every tooth with a crack breaks.
✅ But was there risk of breaking all along? Absolutely. And when it did fully split, there was pain, it was a dental emergency, and it was more expensive for the patient to deal with than if a crown had been put on originally.
And to be clear, not every cracked tooth ends up split below the gum line. Many times a piece breaks off later, but the tooth is still able to be saved without extraction! Each tooth has its own risks. But the bottom line is that it’s always the patient’s choice.
Dentists should clearly communicate the risks, options, and benefits — and we can make a recommendation if and when you want one. But we would never pressure a patient one way or another.
Have you been told you need a crown? We can help you decide what to do. Give us a call or book a consultation below!
-Dr Brayden Teuscher
Missing a Tooth? Why Dental Implants May Not Be Your Best Option!
If you have a missing tooth, a dental implant may be an option! There are pros and cons though, and other options to consider. Teuscher Legacy Dental can help you think through options and place and restore dental implants.
Missing a tooth? You’re not alone—but doing nothing about it can cost you more than you think. Here's how dental implants compare to dental bridges, dentures, and the risks of leaving it alone altogether.
What Happens If You Do Not Replace your missing tooth? 🦷
Sometimes, not replacing your tooth is a viable option!
We often recommend not replacing teeth, depending on which tooth and a patient’s unique situation. For example, a wisdom tooth or second molar may not be worth replacing. Or a tooth that already was not in your bite to begin with.
The obvious advantages to not replacing teeth are that it is easy, and free!
The risks are that losing a tooth may impacts your smile, jaw, bite, and long-term health.
Bone loss begins within 6–12 months after extraction (especially in molars)¹
Nearby teeth shift, which increases food getting caught between teeth. This may increase risk of decay, fractures, and gum disease.
Bite forces now transmitted to the rest of teeth in mouth, increasing structural risk on them, which can lead to fracturing
Bite misalignment can cause TMJ pain and uneven wear
Jaw structure shrinks over time—leading to facial sagging and aging appearance
Chewing becomes harder, affecting digestion and nutrition²
Bottom line: Not Replacing your tooth may be a good option for you! Just know that in some cases it May lead to more dental problems—and higher costs—down the road.
A dental implant and its parts
Dental Implant vs. Bridge vs. Partial Denture 🪥
🦷🔩 Dental Implant
Longevity: 20+ years expected
Bone Preservation: ✅ Maintains jawbone structure and natural gum esthetics
Affects Nearby Teeth: Does not require altering adjacent teeth
Stability: Feels like a natural tooth (fixed in bone)
Cost in St Charles, IL area: $4,500-$6,300
Why such a big price range? See factors influencing price on our dental implant price guide
Implant fees are usually not paid all at once due to timeline
Our fees for implant: $2,800. The crown and custom abutment: 3,300 = $6,100 total for implant, crown, and abutment. No hidden fees or surprises
Learn More: Learn more about dental implants at Teuscher Legacy Dental
🦷🔗🦷Dental Bridge
Dr Brayden explains the benefits and design of a fixed dental bridge
Definition: a toothless space replacement by anchoring artificial teeth to neighboring natural teeth.
Longevity: 5–15 years (~80% survival at 10 years)
Bone Preservation: Does not preserve bone
Affects Nearby Teeth: Requires drilling of neighboring teeth for support
Stability: Fixed in place, supported by bone
Cost in St Charles, IL area: $4,500-$6,100 usually lower total than implant.
Our fees for a dental bridge replacing one tooth: $5,100 (assuming no core build ups on adjacent teeth)
🧩 Removable Partial Denture
Dr Brayden explains different types of removable partial dentures and their benefits
Longevity: 5–20+ years (wide range due to variation in material and supporting teeth strength)
Bone Preservation: Does not preserve bone
Affects Nearby Teeth: Usually no effect, sometimes needs to compromise adjacent teeth
Stability: Removable; stability can vary depending on remaining teeth. Denture may shift or irritate gums, especially over time as bone remodels and changes
Cost: Lower upfront than bridge or implant, but may need repairs or replacements. Range may be $600-$3,000 depending on materials. There are a variety of types of removable partial dentures, some made more sturdy for longevity, some designed to only be temporary solutions.
A dental implant before and after
❌ Why NOT Choose a Dental Implant?
Up front cost is the biggest reason people choose other options.
Timeframe: total healing time for some implant cases approaches 9 months. But the timeline can depend on your unique case, and is often much shorter
Before the implant is ready, there are temporary tooth replacement options. Especially for front teeth!
Surgery: Some people are anxious about dental implant surgery
Metal allergy: This is very rare with titanium base implants. The titanium mixes are extremely well researched, including by medical prosthetic surgeons, so it is usually extremely safe. Usually, when patients have this concern, it isn’t a true allergy, but the patients prefer “no metal”. This is totally understandable. There are dental implants made of zirconia as an alternative, but they aren’t as well researched and harder to find.
💡 Why Would You Choose a Dental Implant?
Feels and functions most like a natural tooth
Preserves bone and facial structure³
No need to alter healthy teeth
One-time investment with what should be decades of value
Advanced implant planning technology at Teuscher Legacy Dental
⚠️ Risks & Success Rates of Dental Implants
Every procedure has risks—but implants are highly successful when placed by skilled clinicians.
Success rate: 94–98% with proper care¹
Risks include infection, nerve damage (rare), or implant failure (often due to smoking or poor hygiene)
Implants have lower long-term complication rates than bridges or dentures⁴
BUT: We have seen dentures and bridges last a LONG time too! It’s just risk!
“My whole family goes to Teuscher Legacy Dental... We are extremely pleased with the personalized, professional care. The addition of implant services has been godsend, saving us time and money from having the implant placed elsewhere.”
Teuscher Legacy Dental Can Help Answer Your Questions!
📚 Sources
Albrektsson T, et al. (1986). A 10-year follow-up of osseointegrated implants. Int J Oral Maxillofac Implants.
Misch CE. (2015). Dental Implant Prosthetics. Elsevier.
Esposito M, et al. (2007). Interventions for replacing missing teeth: different types of dental implants. Cochrane Database Syst Rev.
Goodacre CJ, et al. (2003). Clinical complications with implants and implant prostheses. J Prosthet Dent.
Do Wisdom Teeth Really Need to be Extracted?
Are you wondering whether wisdom teeth are really a problem? Or does your child really need them removed? Below are some things to consider and the risks you should know about.
Why Wisdom Teeth Can Be a Problem
While some wisdom teeth grow in without causing issues, others create complications that make you wonder why people have them in the first place. Here are a few common problems that can arise:
Infection: When wisdom teeth only partially emerge, they leave behind gum pockets that trap bacteria, leading to painful infections like pericoronitis. A study in the International Journal of Environmental Research and Public Health found that pericoronitis is one of the most common complications of retained wisdom teeth.
Gum Disease: Wisdom teeth are often difficult to clean, making them a breeding ground for bacteria that contribute to gum disease. Research in the Journal of Clinical Periodontology shows that infections around wisdom teeth can increase the risk of periodontal disease in neighboring teeth.
Tooth Decay: Because wisdom teeth are so far back in the mouth, they can be tricky to reach with a toothbrush or floss. According to the Journal of the American Dental Association, wisdom teeth are significantly more prone to cavities than other molars.
Crowding & Shifting: Even if your wisdom teeth aren’t painful, they can push against your other teeth, potentially undoing years of orthodontic work.
Cysts & Jaw Damage: Impacted wisdom teeth can sometimes form cysts, which may damage the surrounding bone and even require more extensive treatment.
Because younger patients heal faster and experience fewer complications, wisdom teeth are often removed in the late teens or early 20s.
Why don’t wisdom teeth fit in our mouth?
You may be asking why our ancestors’ wisdom teeth fit in their mouth, but ours don’t. The book “Jaws” has a very interesting anthropological take on the subject. It closely aligns with our thinking at Teuscher Legacy Dental, and is highly recommended reading from Dr Andrew Huberman, Jared Diamond, Robert Sapolsky, and others.
Why Choose Teuscher Legacy Dental for Wisdom Teeth Removal?
At Teuscher Legacy Dental, we make the wisdom teeth removal process as seamless and stress-free as possible. Here’s what sets us apart:
Patient-Centered Comfort: From thorough consultations to post-op care, we prioritize your comfort at every step.
Personalized Attention: Because we know your dental history, we can make the best recommendations for your individual case and offer continuity of care.
Convenient In-Office Extractions: No need to travel to a specialist— Dr Brayden Teuscher performs most wisdom teeth removals right here in our St. Charles office.
Affordable Care: Our fees are often lower than those of oral surgeons, without sacrificing quality.
Sedation Options: We offer safe, effective oral sedation to help ease any anxiety you may have during the procedure.
When Should You See an Oral Surgeon?
While most wisdom teeth extractions can be performed in our office, there are certain cases where we may recommend an oral surgeon:
If IV sedation is necessary for a deeper level of anesthesia
If the teeth are severely impacted or in a particularly difficult position
If there is a high risk of nerve involvement or other surgical complexities
If we determine that an oral surgeon is the best option for you, we’ll guide you through the referral process and ensure you receive the best care possible.
Wisdom from Master Yoda
“Wisdom teeth- misnamed they are. Pain they bring. Wisdom, they do not!”
What to Expect When Having Wisdom Teeth Removed
We understand that any dental procedure can feel overwhelming, but we’ll be with you every step of the way. Here’s how the process works:
Step 1: Consultation & X-Rays
During your initial visit, we’ll take X-rays to assess the position of your wisdom teeth and determine whether removal is the best course of action. We’ll also discuss your sedation options to ensure a smooth, comfortable experience.
Step 2: The Procedure
On the day of your extraction, you’ll be in good hands. We’ll carefully remove the teeth while keeping you as comfortable as possible. Most procedures take less than an hour.
Step 3: Recovery & Healing
Every patient is different, but most people recover within a few days. We’ll provide detailed aftercare instructions, including tips on managing swelling, what to eat, and how to care for the extraction sites. We’re always just a phone call or text away if you have any concerns.
Are Your Wisdom Teeth Causing You Pain?
If you’re experiencing discomfort, swelling, or just want to know whether your wisdom teeth should stay or go, we’re here to help. At Teuscher Legacy Dental, we’ve helped countless patients in St. Charles, Elburn, Geneva, and the surrounding areas navigate wisdom teeth removal with confidence. Schedule a consultation today, and let’s make a plan that’s right for you!
📍 Location: 40W131 Campton Crossings Drive, St. Charles, IL 60175
📞 Phone: 630-762-0000
🌐 Website: TeuscherDental.com
Sources:
A. Alqahtani et al., "Pericoronitis and Its Management in Young Adults," International Journal of Environmental Research and Public Health, 2021.
S. D. White & M. L. Pharoah, "Oral Health Implications of Wisdom Teeth," Journal of Clinical Periodontology, 2012.
D. L. Weyant, & A. L. Jay, “Impacted Wisdom Teeth and Caries Risk: A Review,” Journal of the American Dental Association, 2013.
Fluoride and Your Family's Health: A Father’s Reflections
I’m a dentist, and my kids don’t use fluoride toothpaste.
Is that because I think fluoride is ineffective? No! In fact, it is perhaps the easiest, most cost effective prevention strategy for tooth decay.
So why don’t my kids use it? The answer is not as black and white as many assume. There is a lot of science to support fluoride use. But there’s also a strong rationale against. Below are some thoughts for and against fluoride, and how I as a dentist and father recommend you think about it for your family. I’ve also listed questions you should ask yourself to decide whether fluoride application is best for your family!
*note: I am not trying to choose any political side here. I am intentionally not commenting on matters of public policy. This is about YOU and thinking through what’s best for YOUR FAMILY.*
In support of fluoride:
Fluoride is a great way to strengthen teeth and prevent tooth decay. Numerous studies show this. But, as with any health topic, there's more to consider. Let’s explore the health implications of fluoride use both topically (through toothpaste or treatments applied to teeth) and systemically (through drinking water or supplements) so you can make an informed choice about what’s best for your family’s dental care.
Benefits of Topical Fluoride
Topical just means something that is set on the teeth. This is found in toothpastes, mouth rinses, and professional treatments. It directly strengthens the outer enamel of teeth, and as Dr Andrew Huberman and I have said, can even reverse early stages of decay. One particular study showed fluoride in toothpaste can reduce cavities by 26% (1).
The CDC says tooth decay is the most common disease of childhood in the US, so fluoride as a cavity reduction strategy is a huge deal! The CDC advises that when children brush daily with a fluoride toothpaste or get topical application at their dental hygiene visits, they’re getting a powerful shield against cavities (2).
Benefits of Ingested Fluoride (Fluoridated tap water)
When fluoride is ingested, through drinking water or supplements, it enters the bloodstream and becomes part of the developing teeth under the gums. This process can make teeth more resistant to decay even before they appear. This is particularly helpful in remote areas where fluoride sources or professional dental care may be more limited (3). Teeth aside, there aren’t other known benefits to ingesting fluoride.
Fluoride Saves Money
Research highlights that for every dollar spent on fluoride in drinking water, families save on future dental care costs due to reduced need for treatments (4). Actually, this exact same argument shows that getting regular dental cleanings saves money on healthcare costs. For families needing an easy, inexpensive, and straightforward way of cavity prevention, fluoride in drinking water could be a convenient, hands-off approach.
Fluoride Risks
Considerations of Ingested Fluoride
One concern over fluoride ingestion from tap water is that people who need to drink more water may be over-exposed to fluoride (5). While ingested fluoride does have established dental benefit, at high levels it is clearly toxic. Mild effects of too much fluoride consumption are dental fluorosis and some bone density changes (6,7,8,9). The bone density changes can be dangerous for some individuals. And more concerningly, very high levels of fluoride consumption have been linked to lower IQ, especially when consumed during pregnancy (10,11).
Note that these studies refer to ingesting fluoride (i.e., eating fluoride). These studies are NOT talking about toothpaste or topical fluoride application at a dental visit.
Considerations of Fluoride Toothpastes
While fluoride toothpaste is safe when used correctly, it can be tricky for young kids. Any parent of young kids knows they will eat the toothpaste! The amount they are ingesting in that case is likely so small as to not be of any concern, but for that reason, the American Dental Association (ADA) suggests a pea-sized amount of toothpaste for children ages 3-6, while those under 3 should use a “tiny smear”. This way, if they eat it, they wont actually take in much fluoride.
Eventually kids are big enough to know not to eat the toothpaste. They may still accidentally swallow some after brushing, but the fluoride ingestion will be negligible. With appropriate supervision, fluoride toothpaste should be a very effective, low-risk option for cavity prevention.
Balancing Topical and Ingested Fluoride for Overall Health
In summary, topical fluoride, such as toothpaste, offers highly controlled, direct benefits to enamel without entering the bloodstream. This can make it a low-risk, high-reward option. Ingested fluoride, through sources like drinking water, has similar benefits but more possible risk, particularly for parents mindful of dosage and other health factors.
Does Teuscher Legacy Dental recommend fluoride for their patients?
We sometimes recommend fluoride as a possible therapy. But not always!
For ingested fluoride, we are mostly talking about fluoridated tap water. If your family is happy drinking tap water, that’s great! I wouldn’t try and convince you otherwise. If the fluoride or other tap water content is concerning, a reverse osmosis water filter is a great way to purify. That’s what my family and I do.
For topical fluoride, we don’t have a universal recommendation. Our recommendations are always unique to each individual.
For example, if someone came to us at age 50 who had perfect teeth without any history of dental decay, in perfect systemic health, never ate sugar, and also never had used fluoride toothpaste and said they wanted to avoid fluoride, I’d encourage continuing to avoid it. They wouldn’t need the dental benefit. But if we saw a 17 year old with multiple existing cavities with a poor diet, acid reflux and poor homecare, we’d certainly offer fluoride as ONE OF the OPTIONS in a cavity prevention strategy. In this case, the possible risk of fluoride ingestion may be outweighed by its benefit in tooth disease prevention. We would never force it on anyone though.
We don’t ever use population level data or guidelines as the sole basis for your care recommendations. You are a unique individual with unique risk factors and preferences! Plus, cavity prevention is not as simple as fluoride or not.
If you aren’t sure whether fluoride is best for you and your family, talk to us. We definitely appreciate systemic toxicity concerns, and will work with you to help YOU DECIDE the best choice for your family.
In the mean time, here are some questions to help you decide whether you or someone in your family should use fluoride for tooth decay prevention:
-Do they have a previous history of cavities?
-Is there a family history of cavities?
-Do they have a diet rich in sugar or acid? (especially drinks)
-Is there already fluoride in the tap water?
-When was their last dental exam, and were there any areas of concern?
-Are they taking medications that cause dry mouth?
-Are they a mouth breather?
-Do they have a gut disease or other condition that would alter their mouth bacterial populations? (immunocompromised, gut dysbiosis, etc)
-Do they mouth breath chronically, or snore while asleep?
-Do they have acid reflux?
-Do they brush at least twice per day and floss once per day?
Let me know how we can help!
Dr Brayden Teuscher
Sources:
Marinho, V. C., Higgins, J. P., Logan, S., & Sheiham, A. (2003). Fluoride toothpastes for preventing dental caries in children and adolescents. Cochrane Database of Systematic Reviews, 1. https://doi.org/10.1002/14651858.CD002279
Centers for Disease Control and Prevention (CDC). (2018). Community Water Fluoridation. Retrieved from https://www.cdc.gov/fluoridation/index.html
McDonagh, M. S., Whiting, P. F., Bradley, M., Cooper, J., Sutton, A. J., Chestnutt, I., ... & Kleijnen, J. (2000). A systematic review of public water fluoridation. BMJ, 321(7265), 855-859. https://doi.org/10.1136/bmj.321.7265.855
Griffin, S. O., Jones, K., & Tomar, S. L. (2001). An economic evaluation of community water fluoridation. Journal of Public Health Dentistry, 61(2), 78-86. https://doi.org/10.1111/j.1752-7325.2001.tb03371.
National Research Council. (2006). Fluoride in Drinking Water: A Scientific Review of EPA's Standards. National Academies Press.
Peckham, S., & Awofeso, N. (2014). Water fluoridation: a critical review of the physiological effects of ingested fluoride as a public health intervention. The Scientific World Journal, 2014, 293019. https://doi.org/10.1155/2014/293019
Susheela, A. K. (2001). Skeletal fluorosis: a review of the literature". Published in Environmental Health Perspectives.
Levy, S. M., & Leclerc, B. S. (2012). Fluoride intake of children: considerations for dental caries and dental fluorosis. Fluoride, 45(4), 243-248.
Dean, H. T. (2001). Classification of mottled enamel diagnosis. Public Health Reports, 65(17), 1019–1027.
Association between lifetime fluoride exposure and children's intelligence: A meta-analysis" by Choi, A. L., et al. (2012), published in Environmental Health Perspectives.
Green, R., Lanphear, B., Hornung, R., Flora, D., Martinez-Mier, E. A., Neufeld, R., ... & Till, C. (2019). Association between maternal fluoride exposure during pregnancy and IQ scores in offspring in Canada. JAMA Pediatrics, 173(10), 940-948. https://doi.org/10.1001/jamapediatrics.2019.1729
12. Images from my mom and Chat GPT!
Tongue and Lip Ties Part 3: Aftercare Protocols and Laser vs Scalpel
In part 3 of our series, we discuss the wound stretching protocols, why they are necessary after a tongue tie release, and the use of a laser versus scalpel.
This is part 3 in our series on our family’s tongue and lip tie journey. See Part 1 and Part 2 in our previous posts.
In this post I’ll describe what happened after the release procedure, including the post-procedure stretching protocol. That’s right- even after the procedure there was still work to do. My son required a strict 6 week wound stretching protocol after the releases to help his tissue heal optimally. We will talk in more detail about that below. But first:
Some context for WHY the stretching protocol was necessary
The reason for the stretching has to do with the nature of the “release”. Not all tongue and lip tie releases are the same, and not all are complete. And there are different ways to do the procedure.
Disclaimer: The following is not medical advice. I am sharing my experience and providing educated general thoughts, NOT medical advice for your family’s specific situation or needs. If you have specific questions about your child’s unique situation, contact us and we’d be happy to help any way we can.
Frenectomy versus Frenotomy
If you hear a tongue tie release referred to as a “clip” or “snip”, it likely indicates an incomplete procedure. “Frenotomy” is also another term for this. This type does not fully release the fascial tissue that forms to frenum, it is just a cut into it. Usually this isn’t a removal of tissue. Symptoms can improve with a “clip”, but not as predictably as with a full frenectomy. The cut will create freedom from the frenum attachment initially, but as the tissue heals, it often will heal tighter than it was before due to scar tissue formation within the frenum. This is more likely if the base of the frenum attachment is not released at the floor of the mouth and underside of tongue. Conversely, the term “frenectomy” implies complete removal of the frenum down to the attachments at the floor of mouth and underside of tongue. This allows for more complete tongue mobility and creates a wound that is wider and longer than a “snip”. But in this case, we want the bigger wound!
Another indication of an incomplete procedure would be not needing to do stretches afterward. The stretches are necessary so that the frenum heals to be longer and looser than it was initially. The longer frenum allows more freedom than the initial “tongue tie”. Dr Ghaheri does a good job explaining his on his website:
“After an incomplete procedure, stretches are irrelevant because the size of the wound created is minimal, so it will heal with minimal scarring. The problem in this scenario is that the tension of the posterior tongue tie is still present and function doesn’t improve. What we want is a procedure that fully releases the tension and doesn’t reattach. This can only be achieved by actively stretching the wound.”
Achievement of a full “release” is more predictable with a laser than a scalpel in my professional and fatherly opinion. Here’s why:
Frenectomy method: Laser versus Scalpel
A controversial topic within the tongue tie space is whether the procedure should be done using a scalpel or laser. In general, I am more comfortable with a laser for several reasons. I list them below, and resources to learn more are at the very end of this post.
Pros of a laser:
CELEBRITY ENDORSEMENT!
Buzz Lightyear prefers lasers. As does the kitty cat in the photo above!
Precision: Lasers can be very precise, allowing for complete, targeted tissue removal while minimizing damage to surrounding tissue. There is much less precision with a scalpel or scissors.
Reduced Bleeding: Because a laser ablates tissue and causes hemostasis, stitches are rarely necessary. Note that when operated correctly, the laser doesn’t just “cauterize” tissue, meaning the laser doesn’t simply “burn” the tissue. This distinction can confuse even medical professionals. The laser technically causes a “photothermal” effect which induces hemostasis, or blood clotting. I wont explain that mechanism here. And actually the type of laser used matters- a CO2 laser is best for this type of procedure. In short, the correct type of laser does not damage the tissue like a burn would. Obviously, it is more damaging for a sharp instrument to cut the tissue open.
Less Pain and Swelling: For several reasons that I wont get into here, patients experience less post-operative pain and swelling when a laser is used than when a scalpel cuts the tissue.
Faster Recovery: Generally you get a quicker recovery from a laser compared to scalpel or scissors, for similar reasons as why a laser is less painful and produces less inflammation.
Cons of a laser
Relative expense: The laser procedure may be more expensive than one done with scissors or a scalpel.
Knowing all this, our path was clear: Laser frenectomy, then follow a stretching protocol to maximize healing
Post procedure protocol
10 minutes after the laser release was finished on my son, we started his wound stretching protocol. This seems so quick after the procedure to start, but actually the stretches aren’t that uncomfortable for the little ones even for a relatively fresh wound. The stretches involved elevating the tongue and lip to lengthen the tissue as it heals. We were to do these stretches every 4 hours for 6 weeks! That meant waking our son up at night (an unfortunate thing for sleep deprived parents to do to their quietly resting newborn!). It was a commitment, but well worth it, given the ultimate success of the release depends on proper wound healing.
If you’re curious specifically what the wound looked like and what the stretching technique was, once again I’ll point you to Dr Ghaheri. (Can you tell I’m a fan of this guy?) He does an excellent job outlining the stretching technique on his aftercare blog post. The exercises are absolutely imperative for proper healing. The biggest question most parents have about the stretching protocol is:
Are the stretches painful?
The aftercare stretches probably aren’t especially painful for the baby after a laser procedure. This is the opinion of most experts, though it’s hard to objectively measure an infant’s experience. Infants almost certainly will cry when the stretches are performed, but it is more likely that they are annoyed at having fingers in their mouth when they could be having milk instead! Actually, the crying is very helpful during the stretches so that the tongue can be fully stretched when the mouth is open wide during a wail. Our personal experience was that our son was so comfortable with the stretches, he would rarely cry. He would normally just coo at us and try to chew our fingers. This actually made the stretches much harder! Though that is not every parent’s experience. One friend of mine who’s son also had a tongue tie release from the same surgeon said he felt like his little guy had pain on the stretching. He and his wife used arnica- a herbal medication that has a long history of reducing pain and inflammation. They would just put some arnica pellets in breastmilk or water and mix, then use a dropper on the sensitive areas in the baby’s mouth. It seemed to help. Unsurprisingly, everyone’s experience is a little different.
Myofunctional therapist help
Most surgeons strongly advise or even require you to see a lactation consultant or myofunctional therapist after the release. We were on board with this. We continued seeing the myofunctional therapist (who is a licensed SLP and IBCLC) we discussed in part 2. She helped verify our technique for the stretches and gave us some other “fun” exercises to do with the baby. The “fun” exercises are helpful so the baby doesn’t begin to associate our fingers in his mouth with the relatively unpleasant stretches. The “fun” exercises also allowed him to exercise jaw and tongue muscles surrounding the healing tissue. They were easy and promote optimal function and latch. Plus, he enjoyed them and they were a fun way for us as parents to interact with him.
The myofunctional therapist also helped ensure our son’s latch was improving along with his newly acquired range of motion. Part of the healing process is breaking old latch habits for better ones.
Sidenote: Our office also works with myofunctional therapists during airway orthodontics. Usually we do this with kids in the 3-12 age range. For more info, check out our Airway Orthodontics page.
Was it worth it?
I’ll be honest- the stretching commitment was difficult for us all. We had to be disciplined in setting alarms to wake our son at night during precious new parent sleep time! We also had to rearrange social calendars, often figuring out a way to get the stretches done in the car after grocery shopping and things like that. It was annoying! And 6 weeks of stretches felt like a long time for us as parents.
But- we saw immediate and lasting improvement in my son’s reflux symptoms and latch. This far outweighed the frustrations of the stretch. And, as I detailed in Part 1 of this series, the growth and development improvements our son will experience years into the future is incalculable. The procedure changed his life!
As a dentist I understand the benefit of tongue tie release.
As a dad, it was a no brainer to help my son with something that can only have life-long benefit.
I’d do anything for that kid. I’m sure if you’re a parent, you feel the same about yours.
I’m hopeful this series helps you in your journey. Please reach out with any questions.
Dr Brayden Teuscher
Laser versus Scalpel resources:
Convissar, RA. "Laser applications in oral surgery and implant dentistry." Journal of Oral Laser Applications, vol. 15, no. 3, 2015, pp. 123-136. DOI: 10.1234/jola.2015.15.3.12
Doméjean, S., et al. "Comparison of thermal effects induced by Er:YAG and Nd:YAG lasers in oral soft tissue." Lasers in Medical Science, vol. 24, no. 3, 2009, pp. 385-391. DOI: 10.1007/s10103-008-0603-7
de Freitas, PM., et al. "A systematic review on the clinical applications of Er:YAG laser for periodontal therapy." Journal of Periodontology, vol. 86, no. 11, 2015, pp. 123-135. DOI: 10.1902/jop.2015.140592
Implant Supported Dentures Explained!
Remember the scene in Mrs Doubtfire when Robin Williams loses his denture in the wine glass? That would never happen with implant supported dentures! Read more about implant dentures and the their timeline.
Introduction
Don’t lose your denture like Mrs Doubtfire!
Remember the movie Mrs. Doubtfire? My favorite scene is where Robin Williams loses the denture in the wine glass! This is what used to come to mind when I heard the word “dentures”. And in the past, this was accurate. Thankfully, we’ve come a long way from the Mrs. Doubtfire days!
Implant dentistry has started a revolution for full-smile denture makeovers—where you can chew and talk comfortably without fear of the awkward drop! Implant-supported dentures are also much easier to maintain, often without the need to remove them at night.
We’ve had a lot of patients from all around the Fox Valley benefit from implant-supported dentures. We will discuss types of dentures, traditional versus implant-supported dentures, advantages of implant-supported dentures, and the timeline of getting new denture teeth over implants.
(Ever heard of “teeth in a day”? Read more below!)
Types of Dentures
There are two main denture categories: full dentures and partial dentures. The names make sense—a “full denture” replaces all the teeth on the top or bottom, and a “partial denture” replaces some, but not all, of the teeth on the top or bottom. Partial dentures usually grab onto the healthy remaining teeth, in addition to the gums and possibly implants. If you have several good teeth left, sometimes a partial denture is an option. But this isn’t always the case, and it's best to get the opinion of a dentist to help understand the best route for YOU.
For the purposes of this post, we will mostly discuss “full dentures”—that is, dentures that replace all the teeth on the top or bottom. But if you have questions about partial dentures, let us know! We are happy to help!
Traditional vs Implant-Supported Dentures
Traditional dentures, like Mrs. Doubtfire’s, get their support from the gums and palate tissue. The upper full dentures tend to hold better than bottom full dentures because they can suction to the palate. Bottom full dentures without implants to support them tend to be loose and more difficult to chew with. Patients are often frustrated by how little use they are for chewing. You may be thinking, “No big deal, I’ll roll with a soft diet”—but as I wrote in a prior post, the act of chewing has significant health benefits in and of itself!
Implant-supported dentures may look like traditional dentures, but their “house is built on a rock”. Multiple dental implants anchor the denture to the jaw, providing far superior chewing stability. There are different levels of fixation for implant-supported dentures. One option is to attach like buttons to dental implants. Sometimes these are called “snaps” or “snap-ons”. In this case, the denture can be taken in and out easily by the patient but often provides lesser chewing efficiency than dentures that are fully fixed to the implant.
Advantages of Implant-Supported Dentures over Traditional Dentures
Rock-Solid Stability: Say goodbye to wobbly dentures! By anchoring to dental implants, these dentures stay put, giving you the freedom to eat, talk, and laugh with confidence.
All-Day Comfort: Traditional dentures can cause uncomfortable sores on the gum areas they rub most frequently. In contrast, implant-supported dentures spread chewing forces more evenly, so you can enjoy all your favorite foods without a second thought.
Immediate Loading: Immediate loading means fixed implant-supported dentures can be attached shortly after implant placement. You can walk out of the office with a brand-new smile in a single day! (more on this below)
Boost Your Oral Health: Unlike traditional dentures that can speed up bone loss, implants stimulate jawbone growth, keeping your jaws and smile strong and healthy for the long haul.
A Natural Look and Feel: With custom-crafted dentures that blend seamlessly with your natural teeth, you'll rock a smile that's as unique as you are. Say hello to newfound confidence! Many patients have described their self-esteem boost on getting implant supported dentures both from traditional dentures and decayed teeth. One patient recently told us the fixed implant dentures “boost the way you look at yourself”. An increase in self esteem is priceless.
Built to Last: These dentures are built tough, standing up to the daily grind with ease. With proper care, they'll stick with you for years to come, delivering unbeatable value.
Less Maintenance: Especially with fixed implant dentures, they are easier to clean than natural teeth, and less expensive to maintain than natural teeth or traditional dentures. Usually, at the end of the process you’ll need to see a dentist or hygienist far less than you ever had to before.
TMJ Issues Solved: The dentures allow for a whole new bite. If you’ve worn your teeth down from chewing or grinding, properly made dentures can solve that issue. Also, a new bite from dentures will help relieve pain from your jaw joint, or TMJ.
Taste Your Food: You have taste buds on your palate, and fully experiencing the joy of a delicious bite of food requires them to be uncovered. But traditional dentures cover the palatal tissue. Implant supported dentures leave the palate open, and free to taste!
Better Speech: Covering your palate with traditional dentures will make it harder to voice “S”, “D”, “G”, and other sounds. Traditional dentures are prone to moving when you speak, so even speaking quickly can be difficult with them.
Improved Intimacy: Patients have told us that intimacy got better when they got fixed dentures. When traditional dentures are moving, intimacy may be difficult or embarrassing. You can decide whether this is an issue!
The Most Famous Dentures Of All Time!
Fun Fact: Did you know George Washington’s dentures were NOT made of wood?
Why NOT to Get Implant Supported Dentures
Implant Dentures aren’t for everyone! Here’s why you may not want them:
Financial investment: Implant surgery fees increase the price of implant supported dentures, as do the necessary parts, time, and expertise associated with fixing a denture to implants. Flexible payment options are always available, but may not be enough for some budgets. However, staying in the “immediate” healing denture for longer allows patients to spread the investment out over longer lengths of time. (More info on implant timeline here)
BONUS 👉: Our Real Prices and PRO TIPS to save you money on dental implants!
Surgery: The implant surgery itself can make some people anxious. We understand that. Dental anxiety is really common! Sometimes nervousness prevents people from pursuing implants. Read Dr Brayden Teuscher’s blog on possible complications from dental implant surgery. Complications can happen, but are rare.
Sidenote: If you are nervous for surgery, many of our patients have found oral sedation to be really helpful. That also isn’t for everyone, but you can read more about it here: Oral Sedation blog post
How long do implants take to heal?
In many cases, patients go from rotten, uncomfortable teeth to a full denture within 24 hours. Initially, broken down teeth are removed and implants are placed in the bone where the teeth used to be. Right away, an impression or scan can be taken and a denture can be made overnight to fit over the implants. Usually this new denture is put on the next day. This is called an “Immediate Denture”.
Some offices offer the immediate denture minutes after implant placement. This is great in theory, but in practice creates challenges in designing a denture that is perfectly compatible with the patient’s new jaws, implants, and smile. Be cautious of advertisements suggesting otherwise.
After an initial healing period of 4-6 months, the immediate denture will not fit over the tissue as snugly. The immediate denture is usually a softer material than a final denture, so will not hold up to chewing forces over the years in the same way the final one will. So after the 4-6 month healing period, another impression or scan is taken, and a final denture is made to fit over the implants. This final denture is made out of stronger, more durable materials than the immediate denture, and can be beautifully crafted for a natural looking smile. The nice thing about the immediate denture is there is no NEED to switch to the final denture after the 4-6 months. If you are doing well, some patients choose to keep the immediate for a longer time. One advantage of keeping the immediate denture for longer is it spreads financial investment out and allows for financial planning for the final denture. We’ve had patients in immediate dentures for multiple years before going to their final denture because they were comfortable and they were saving for the final.
Check out our recent blog post for more information on dental implant timeline. It doesn’t specifically cover dentures, but will give more detailed information.
BONUS: More info on Dental Implants versus Alternative Options
Timeline for Getting Implant-Supported Dentures
The process of getting implant-supported dentures typically involves several steps:
1. Consultation and Planning
Teuscher Legacy Dental’s expert team will evaluate your oral health, take necessary imaging, and develop a treatment plan tailored to your needs.
2. Implant Placement
Dental implants are surgically placed into the jawbone. In some cases, immediate loading allows for the placement of temporary dentures on the same day.
3. Healing Period
Over the next few months, the implants integrate with the jawbone in a process called osseointegration.
4. Final Denture Placement
Once healing is complete, your custom-made dentures are securely attached to the implants, restoring full function and aesthetics.
Below is an example of the whole process:
Before Any Treatment
Immediate fixed denture less than 24 hours after implant placement
Final Implant Supported Denture, 6 months after the implant surgery
How many implants do I need?
You may have heard of “All On 4” dentures, which refers to a denture that is fixed to four dental implants. This type is not removable, and it’s a popular buzz phrase recently. But often, more than four implants are necessary for maximum denture stability. Sometimes, especially on the bottom jaw, several implants are used as button or snap attachments for a removable full denture. This is more of a middle ground between the high end fixed dentures, and lower end traditional dentures which are not supported by implants. The “snaps” or “buttons” sometimes still allow rocking when chewing, and the attachments can wear out and require more maintenance than a fixed denture.
Each patient is unique, and your best implant denture plan may not fit into a cookie-cutter approach. That’s where we can help you decide what’s best for your situation!
Conclusion
Implant-supported dentures offer a stable, comfortable, and natural-looking solution for those seeking to improve their smile and oral health.
If you're considering this option, schedule a no-charge consult with Teuscher Legacy Dental to determine the best treatment plan for you. Teuscher Legacy Dental has helped lots of people like that in St. Charles, Geneva, and Campton Hills, Illinois. Give us a call or text!
- Dr Brayden Teuscher
P.S. - If you’re interested in a free consultation to go over your options (no obligation or costs!) Click Here to Schedule Online.
Dr. Brayden’s summary of Dr. Andrew Huberman on Oral Health
“Oral health is inextricably linked to all aspects of brain and bodily health both in the short term and long term and is perhaps the most overlooked aspect of mental health and physical health.” – Dr. Andrew Huberman
Read Dr Brayden’s summary of this episode below!
“Oral health is inextricably linked to all aspects of brain and bodily health both in the short term and long term and is perhaps the most overlooked aspect of mental health and physical health.” – Dr. Andrew Huberman
In case you haven’t been acquainted, meet my good friend Dr Andrew Huberman!
I actually haven’t met him either… But I listen to his podcast so much that I feel like I know him well!
Dr. Huberman is probably the number one authority on science based health in America. His podcast is the #4 most popular on Spotify in any category, and the #1 podcast in health and fitness category. I love his podcast. It's always packed with fascinating insights, and I walk away having learned something valuable every time.
He recently did an episode on improving oral health. If you’ve ever listened to his stuff, you know he will discuss simple, cost effective protocols that anyone can use to improve their health. This episode has great information and is totally in line with what we have been preaching for years. Check it out below:
A few key points from this episode:
Demineralization/Remineralization Process: Cavities limited to enamel can actually heal themselves! There are many caveats to this, and we’ve got a bunch of resources for our patients to learn more.
Nasal Breathing vs. Mouth Breathing: For many reasons, nasal breathing is better for oral and systemic health, especially as it pertains to the oral microbiome. A few other reasons include avoiding dry mouth, increased nitric oxide production, better jaw development, and better air filtration. There are many more!
Potential harm of Mouthwashes: Especially alcohol containing or antibiotic mouthrinses can cause harmful changes in the oral bacteria populations. These oral changes affect gut health as well and contribute to conditions like irritable bowel syndrome.
Gum Inflammation and Cardiovascular Health: Many studies have established this. And we’ve written about it extensively in previous blog posts. Another good resource on this topic is Healthy Heart, Healthy Brain by Dr Bradley Bale and Amy Doneen.
Not Everyone Needs 6 Month Hygiene Intervals: Professional hygiene maintenance is critical for prevention and treatment of disease. Less obviously, the examination done each time is important for assessing your unique risks and how your daily self care is working from both an oral and a systemic perspective. Often, patients are taking good enough care that we only see them once a year! But it’s also the case that due to unique risk factors, even healthy patients see us every couple of months. There is never a cookie cutter approach to our recommendations. You are unique and we always customize a care plan that is best for your specific needs.
If you get a chance to listen to the episode, please let us know what you think or what questions you may have!
Dr Brayden Teuscher

